凋亡小体

凋亡小体
图片尺寸268x176
可以的,只是不太好辨认"光镜下凋亡一般累及单个或少数几个细胞,凋亡
图片尺寸504x331
或者是其他的现象?那些黑色的是否就是凋亡小体?还是溶酶体?
图片尺寸728x765
美篇2,靶形红细胞 3,嗜酸性粒细胞(杆) 4,凋亡细胞(中性粒细胞核固缩)
图片尺寸1280x960
感觉细胞都要裂解了,好多凋亡小体.
图片尺寸2048x1536
细胞凋亡与检测技术
图片尺寸600x432
不知道这个是核固缩还是凋亡小体形成的前期? 点赞 收藏
图片尺寸640x480
透射电镜观察凋亡
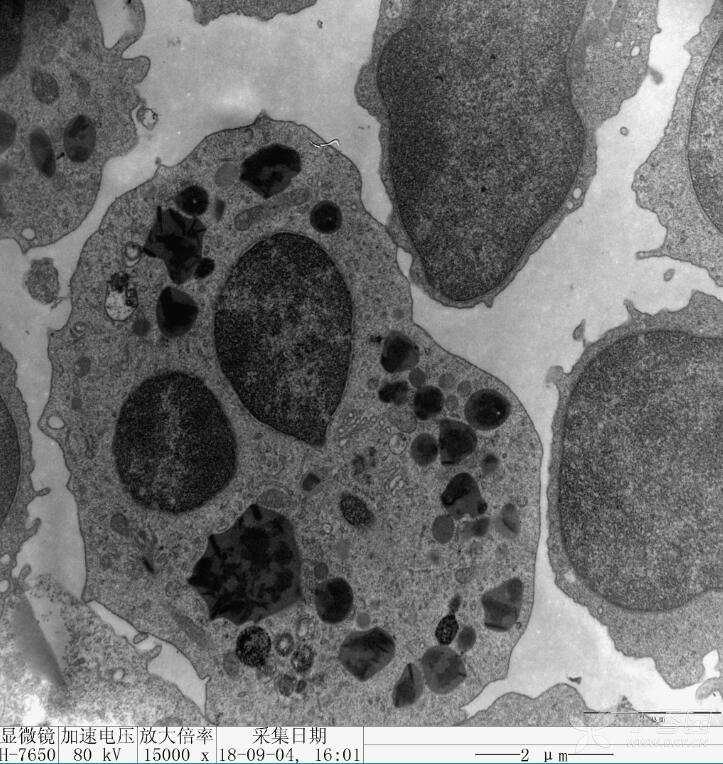
图片尺寸723x764
【求助】 谁能贴点凋亡小体的透射电镜照片
图片尺寸470x648
透射电镜观察凋亡
图片尺寸729x766
在本课件中,作者介绍了细胞凋亡的形态及生化特征,细胞的死亡方式和
图片尺寸485x475
透射电镜观察凋亡
图片尺寸729x766
【整理总结】(归整)凋亡小体的观察
图片尺寸4080x3072
缩,核染色质边集,细胞膜和细胞器膜完整,膜可以发泡成芽,形成凋亡小体
图片尺寸1054x290
4)细胞膜皱褶,卷曲,内陷,并将胞质和dna分割包裹形成凋亡小体3)胞质
图片尺寸439x613
细胞凋亡形态学检测与观察
图片尺寸352x800
细胞凋亡与检测原理ppt
图片尺寸1080x810
苯丙胺诱导肝细胞凋亡,图中黑色箭头指示的就是肝细胞的凋亡小体.
图片尺寸660x986
【求助】在1000倍油镜下能否找到凋亡小体?
图片尺寸300x419
【求助】悬赏求助分析细胞凋亡的电镜图片
图片尺寸1376x1086