切片报告单

肿瘤疾病病理形态学编码常见问题答疑(三)_诊断_细胞_表皮
图片尺寸1080x608
曝武汉协和医院放射污染 患癌女副教授求援方舟子
图片尺寸550x734
横纹肌肉瘤病例分享_患儿_肿瘤_病史
图片尺寸1080x1485
图为千年舟天然豆香生态板检测报告其实早在3年前,千年舟就成功研发
图片尺寸1080x1435
西安市第三医院放任腮腺肿物20年小包块终恶变成癌
图片尺寸802x1042
生物复习题6 观察酵母菌生物复习题5 观察叶片横切面的永久切片生物
图片尺寸835x1140
石蜡切片
图片尺寸268x201
中国信通院2020年5g安全报告
图片尺寸1654x2244
江西铅山公检法长期用无资质尸检报告作证据被罚
图片尺寸600x460
见含气支气管征,病理切片可见乳头状腺癌(c)鳞癌(d)及梭形细胞成分(e)
图片尺寸554x720
单票 票 票据 595_842 竖版 竖屏
图片尺寸595x842
常见问题:3 标本的切片,捞片,烤片3 浸蜡应选择低熔点的石蜡,浸蜡应
图片尺寸551x345
单票 票 票据 设计 素材 595_842 竖版 竖屏
图片尺寸595x842
nbt新技术震撼来袭一张切片揭示空间宿主微生物组互作
图片尺寸960x962
解读色彩在现代病理学中的应用
图片尺寸1240x1754
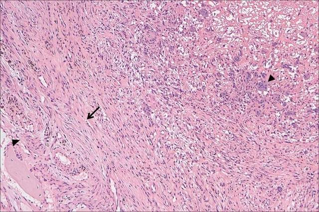
组织病理:少量骨组织(左下三角),大量纤维组织(中间
图片尺寸640x427
订单再迎突破,切片代工业务有望放量——高测股份(688556)点评报告
图片尺寸539x220
用于外周置入中心导管picc的显影聚氨酯
图片尺寸1080x237
再次来医院病理科工作人员仅需将患者前期送检标本,经石蜡包埋后切片
图片尺寸533x666
乳腺癌病理切片辅助诊断系统
图片尺寸651x360