前牙

dsd辅助的多学科联合前牙美学修复病例
图片尺寸306x204
前牙开颌的治疗过程有哪些?
图片尺寸438x240
前牙美学修复ppt
图片尺寸1080x810
前牙冠折树脂修复详细流程病例
图片尺寸620x331
单颗前牙修复利用健康的牙根打个全瓷桩和全瓷套免去拔除减少痛苦和
图片尺寸1728x1296
病例前牙烤瓷贴面修复一例
图片尺寸1080x607
前牙种植成功案例
图片尺寸800x600
【病例分享】复合树脂修复前牙外伤一例
图片尺寸1080x607
上前牙美容冠修复
图片尺寸640x426
圈型成型片可调节前牙不锈钢牙科口腔材料器械牙齿修复正畸牙工具
图片尺寸800x800
前牙天然形态图集
图片尺寸640x409
前牙不良冠修复所致牙周病临床治疗评价论文
图片尺寸625x385
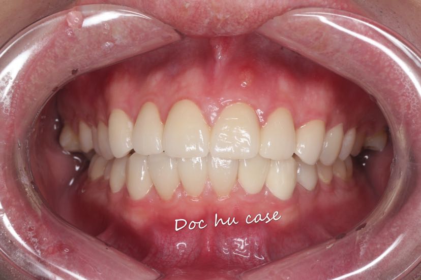
前牙美学修复
图片尺寸828x552
前牙美学种植——前牙修复最理想的方法
图片尺寸800x422
前牙龋坏微创修复——瓷贴面
图片尺寸1331x557
病例三:复杂前牙修复 - 好大夫在线
图片尺寸2352x1568
前牙全冠修复
图片尺寸1676x975
病例分享前牙邻面龋的治疗技巧
图片尺寸700x439
前牙天然形态图集
图片尺寸640x422![【病例讨论】前牙龋坏美容树脂修复一例 [病例帖]](https://imgs.wantubizhi.com/img/735A5D1F980B52A636CC46F12F2D1A731DE7C40C91654A509003A51A4392A6B4FB493FFA3CFBB8E236354F0A1DAC751E7C1DBBB115B0BFEFA6293D817EA4DBBD347C58EA9793B48F8EA410AFF8127C18E76749A2C466B68403D1FB3F9B2AFA86)
【病例讨论】前牙龋坏美容树脂修复一例 [病例帖]
图片尺寸1114x743