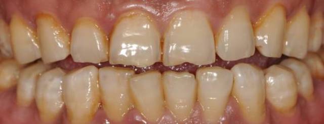
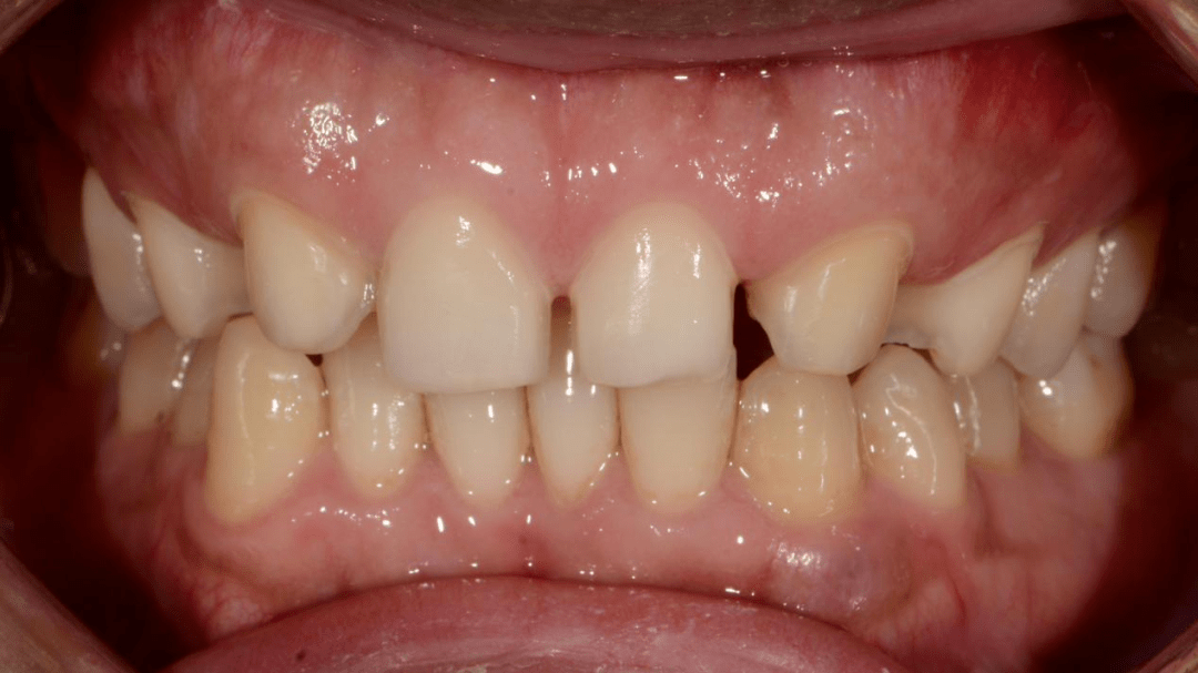
前牙图片

前牙美学种植——前牙修复最理想的方法
图片尺寸800x422
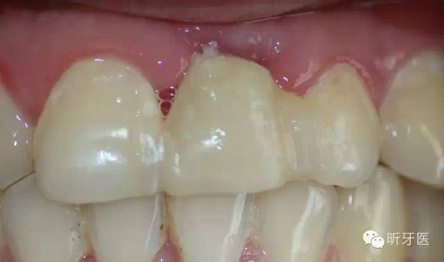
前牙树脂改形关缝隙
图片尺寸640x393
前牙全冠修复
图片尺寸1676x975
原创博客前牙瓷贴面修复董万顺
图片尺寸629x316
病例三:复杂前牙修复 - 好大夫在线
图片尺寸2352x1568
前牙图片
图片尺寸450x300
一例前牙美学二次修复病例报告(全瓷牙 冠延长)
图片尺寸1912x1116
树脂修复前牙深龋一例
图片尺寸620x314
正大华盛一例前牙美学区即刻拔牙即刻种植即刻负重病例
图片尺寸3166x1438
病例前牙烤瓷贴面修复一例
图片尺寸1080x607
前牙单颗即刻种植及美学修复
图片尺寸640x378
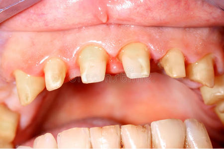
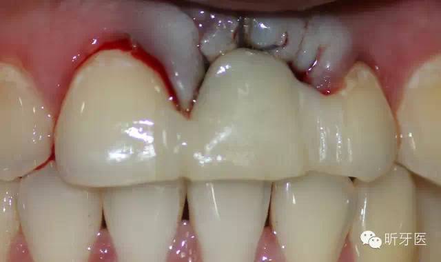
前牙不良冠修复所致牙周病临床治疗评价论文
图片尺寸625x385
一种保守性治疗:前牙牙折片再粘结后的10年随访记录 -- 江苏省口腔
图片尺寸652x521
我的美学我做主几例前牙美学修复一塘沽牙医吴世超
图片尺寸620x286
上前牙残根树脂直接修复
图片尺寸627x387
病例分享前牙轻中度氟斑牙的即刻贴面修复
图片尺寸1080x593
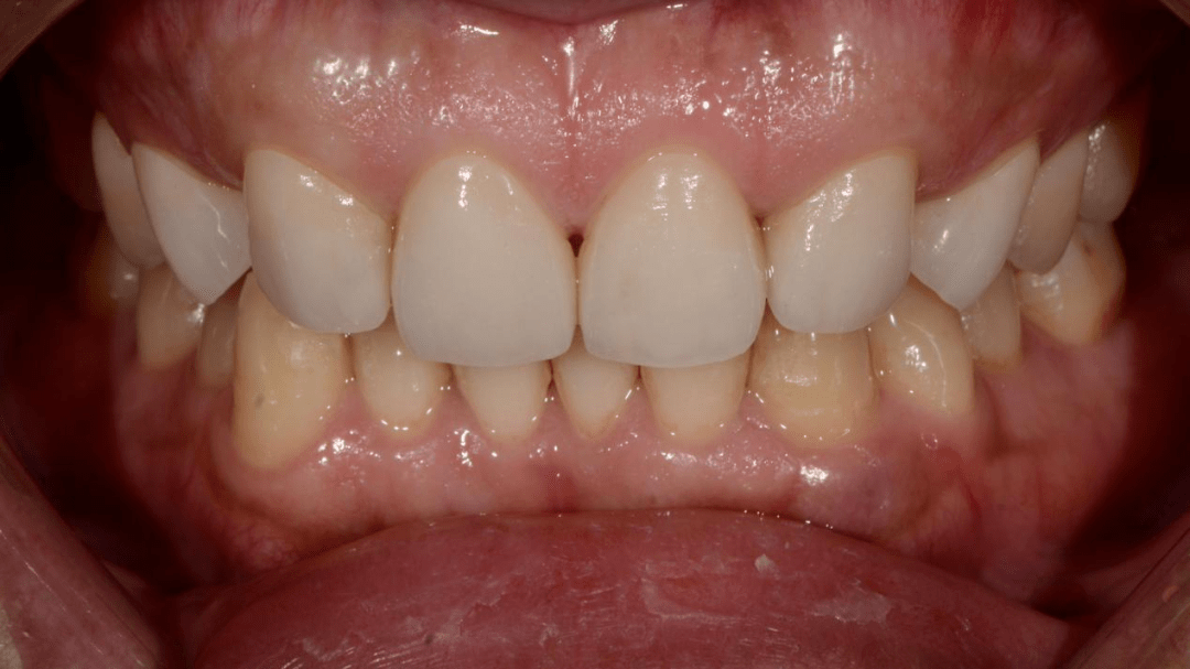
前牙美学修复(贴面 全冠)
图片尺寸611x234
病例前牙烤瓷贴面修复一例
图片尺寸1080x607
前牙天然形态图集
图片尺寸640x469
前牙单颗即刻种植及美学修复
图片尺寸640x380