前牙开合

口腔颅颌面科正颌正畸中心看什么?-蜜颜整形优惠
图片尺寸800x533
前牙开合的前世今生(八)-平行开合 - 美学与功能 - 齿美科技 - 专注牙
图片尺寸720x400
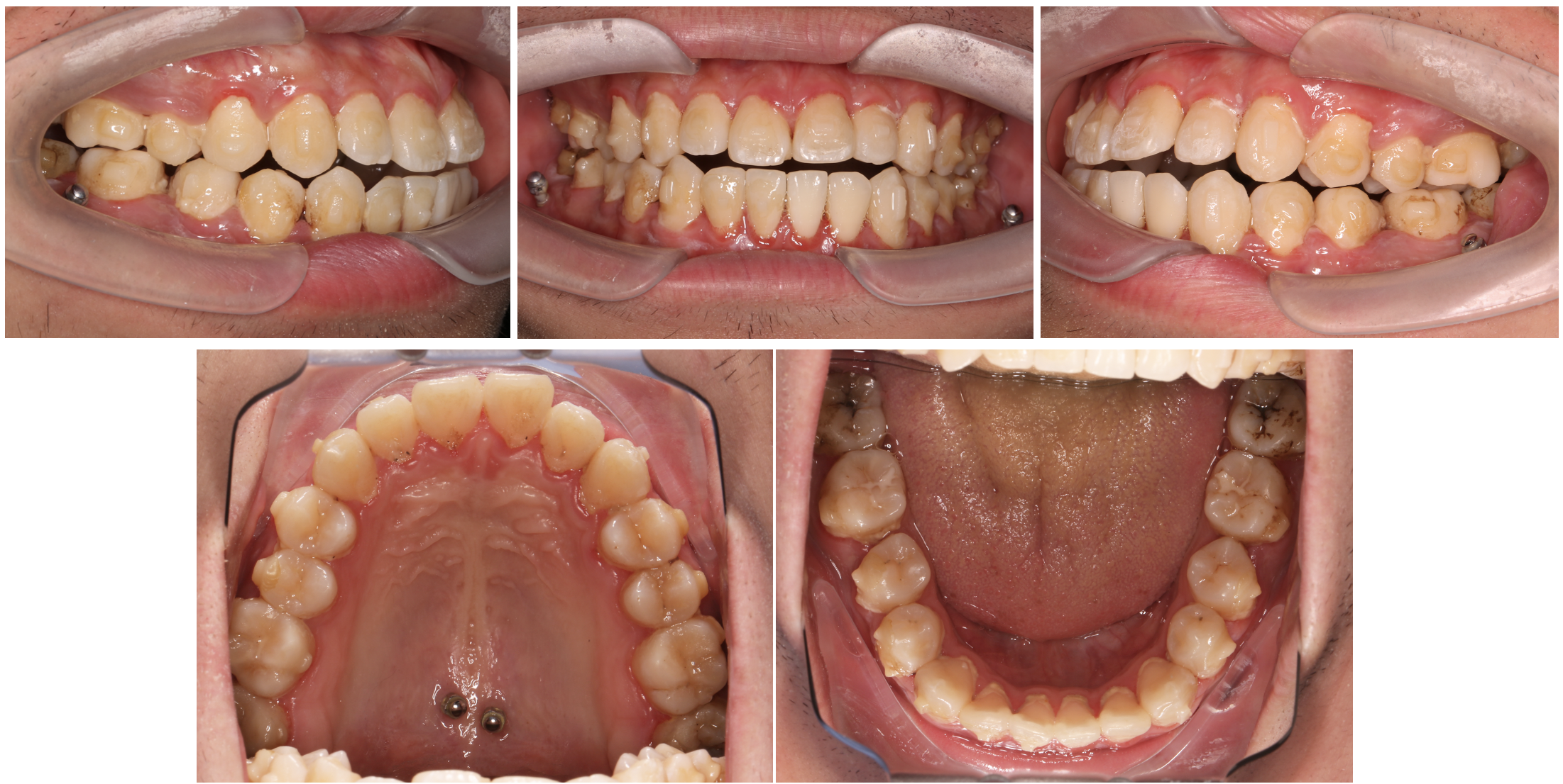
未成年前牙开合病例-彭鹏主治医师-爱问医生
图片尺寸828x1156
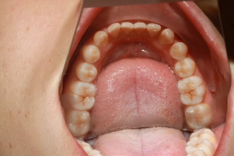
未成年前牙开合病例-彭鹏主治医师-爱问医生
图片尺寸828x1156
开合的矫正_牙颌畸形_牙颌畸形治疗方式 - 好大夫在线
图片尺寸610x334
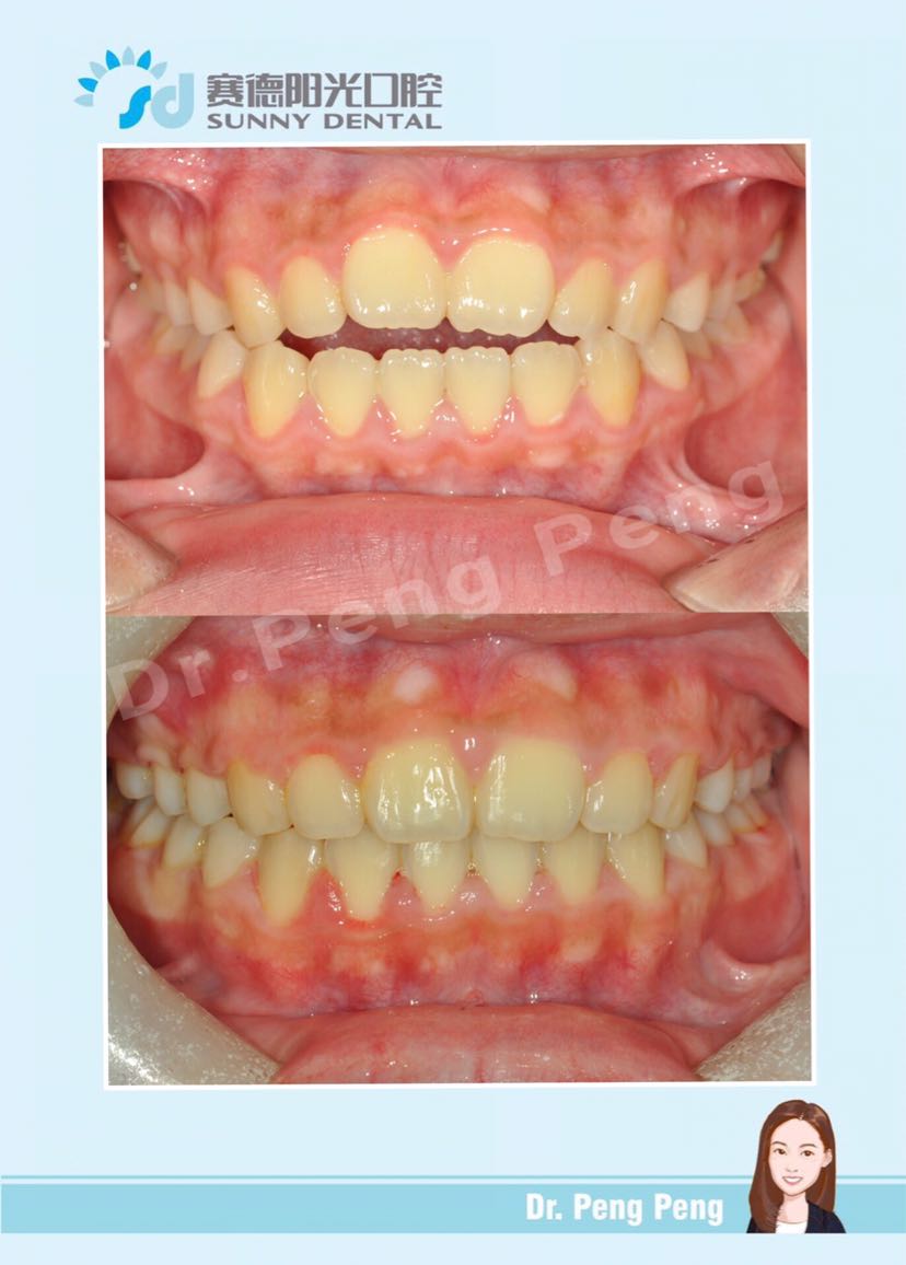
今日份正畸病例分享—前牙开合正畸趣事:我记得在矫正_圈子-新氧美容
图片尺寸1080x1440
前牙开合-口腔管理软件_牙科软件_牙科管理软件_免费口腔软件
图片尺寸412x273
母乳喂养美容记之烟熏柿子大白牙养成清单
图片尺寸1244x577
颞下颌关节骨关节病(tmjoa)相关前牙开合(aob)的正畸治疗方法 - 好大
图片尺寸2360x1200
颞下颌关节骨关节病(tmjoa)相关前牙开合(aob)的正畸治疗方法 - 好大
图片尺寸2248x1082
这两个病例都是前牙开合,不能切断食物,轻度的开唇露_圈子-新氧美容整
图片尺寸570x439
颞下颌关节骨关节病(tmjoa)相关前牙开合(aob)的正畸治疗方法 - 好大
图片尺寸2202x1106
前牙开合,正畸进行中(第95天)-牙套日记-牙套之家|牙齿矫正 中国最大
图片尺寸640x1227
今日份正畸病例分享—前牙开合正畸趣事:我记得在矫正_圈子-新氧美容
图片尺寸1080x1440
美莱口腔门诊怎么样?前牙开合矫正方法是什么,效果如何? - 泉州美莱口
图片尺寸484x484
这样的牙齿连面条都咬不断,你信吗?
图片尺寸380x197
怎么治疗牙齿开合 - 顺德德伦口腔医院
图片尺寸450x287
佛山前牙开合矫正一个月零五天
图片尺寸816x544
前牙开合矫正方法——广州德伦口腔
图片尺寸584x227
颞下颌关节骨关节病(tmjoa)相关前牙开合(aob)的正畸治疗方法 - 好大
图片尺寸2012x920