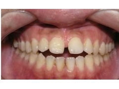
前牙开颌

前牙开颌矫正会痛吗?
图片尺寸400x294
青岛矫正前牙开颌哪家口腔医院好
图片尺寸359x270
佛山牙齿矫正丨咬不断面条的开颌
图片尺寸5935x3338
前牙开颌的治疗过程有哪些?
图片尺寸438x240
解除骨性开颌重建咬合关系改变嘴突
图片尺寸1080x1439
前牙牙齿开颌怎么矫正送上清晰的矫正图解及视频
图片尺寸532x399
牙咬合的时候,两排牙齿不能完全咬紧,中间会有缝隙前牙开颌怎么治疗
图片尺寸434x240
牙齿开颌可以通过正畸改善吗
图片尺寸1440x810
前牙开颌矫正有副作用吗?
图片尺寸718x506
广州矫正前牙开颌要多少钱
图片尺寸400x270
骨性开颌
图片尺寸763x481
开颌
图片尺寸757x496
矫正前牙开颌的最佳时间是什么时候?
图片尺寸240x180
前牙开颌,中度深覆盖,正雅隐形牙套2年3个月,现在像换了个人
图片尺寸570x570
导致前牙开颌的原因
图片尺寸448x323
前牙开颌矫正对比图
图片尺寸500x163
前牙开颌的铸瓷贴面修复
图片尺寸636x387
前牙开颌用时代天使隐形矫正两年对容貌的影响还是有的
图片尺寸600x359
【开颌矫正】这牙不整一下,面条都咬不断!_哔哩哔哩_bilibili
图片尺寸1024x576
前牙开颌的铸瓷贴面修复
图片尺寸635x387