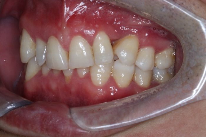
前牙深覆盖

前牙深覆盖矫正前图
图片尺寸750x500
前牙正常覆盖是多少如何区分深覆盖和深覆颌它们有什么不良影响
图片尺寸468x630
深覆盖是如何矫正的?下面是前牙深覆盖矫正的简单过程!
图片尺寸853x480
一般来说深覆合分成两种,一种是上前牙唇倾伴前牙深覆盖的深覆合.
图片尺寸700x467
1,深覆合导致的短下巴面型78 上前牙覆盖下前牙超过1/3就是深覆合!
图片尺寸1080x1439
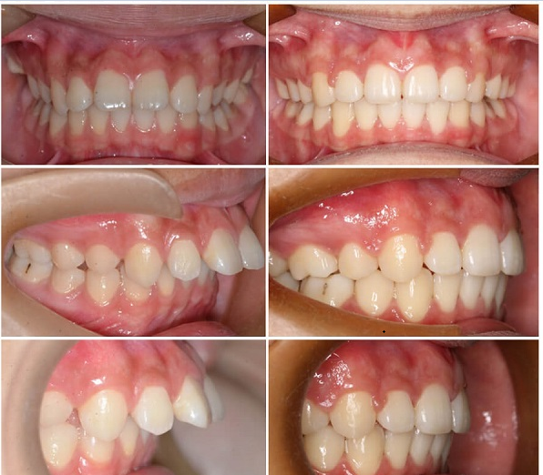
一例前牙Ⅲ度深覆盖的矫治
图片尺寸620x416
深圳牙齿矫正信蓓医生重度深覆合覆盖嘴突案例
图片尺寸960x640
前牙深覆盖牙齿图示
图片尺寸600x450
深覆合深覆盖.jpg
图片尺寸350x259
深覆盖会不会加重
图片尺寸596x522
1 重度深覆合一个熟悉颅颌面生长发育知识的专业正畸医师,面对他的小
图片尺寸2197x1397
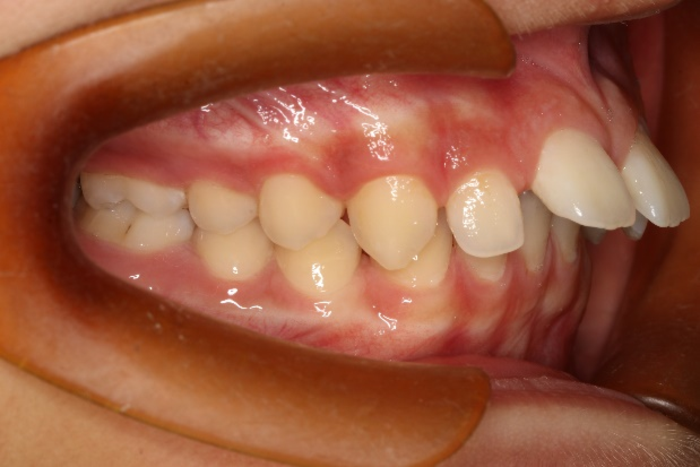
前牙深覆盖指上前牙切端至下前牙唇面的最大水平距离超过 3mm 者.
图片尺寸380x250
牙齿深覆合需要治疗吗
图片尺寸629x419
深覆合vs深覆盖
图片尺寸1080x1440
深覆盖会引起下巴后缩吗在长沙能矫正吗
图片尺寸2992x2000
一般来说深覆合分成两种,一种是上前牙唇倾伴前牙深覆盖的深覆合.
图片尺寸700x467
骨性,深覆颌,深覆盖,高角安氏2类,32--34岁大妈牙套2年效果
图片尺寸1230x1484
【病例展示】前牙深覆禾下的即刻种植修复1例
图片尺寸639x361
一例前牙Ⅲ度深覆盖的矫治
图片尺寸620x413
深覆合和深覆盖究竟有什么区别?
图片尺寸946x423