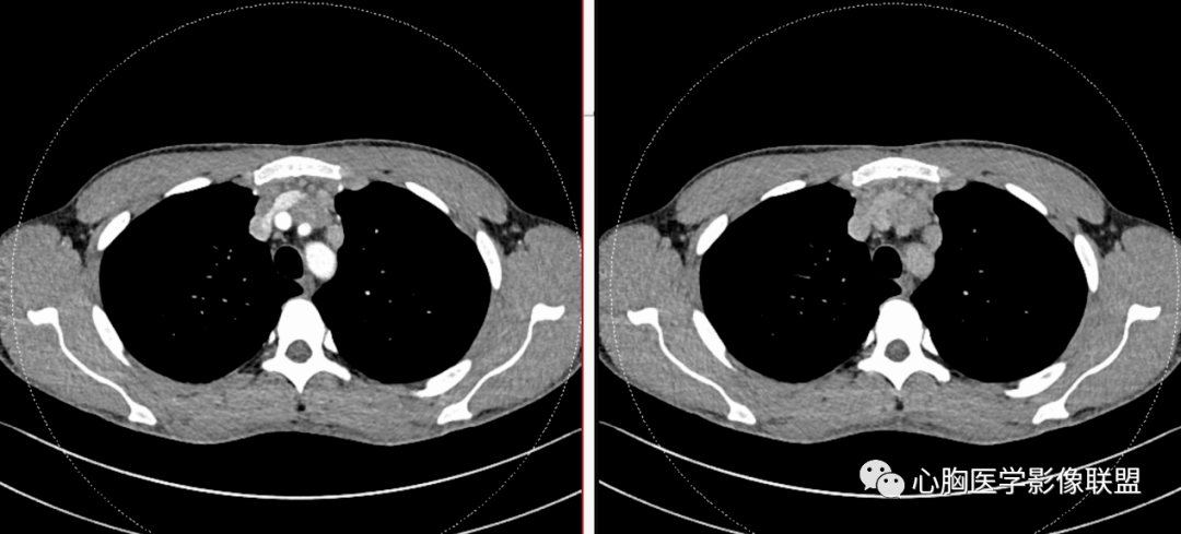
前纵隔CT

图a 胸部ct平扫纵隔窗放大上一张下一张
图片尺寸3636x2400
胸部ct断层解剖(纵隔窗)主动脉根部层面:升主动脉根部已位于纵隔中央
图片尺寸600x913
胸部ct发现纵隔多发小淋巴结,有问题吗?三种原因导致这个现象
图片尺寸1000x756
正常胸部纵隔窗ct解剖1doc4页
图片尺寸993x1404
前纵膈病变_纵隔
图片尺寸1080x489
正常胸部纵隔窗ct解剖2.doc 4页
图片尺寸792x1120
前纵隔占位(一个朋友的ct)讨论【病理已公布】
图片尺寸2441x2986
胸部ct断层解剖(纵隔窗)
图片尺寸600x861
省立影像读片前纵隔肿瘤2109
图片尺寸1080x608
正常纵隔ct解剖图片之一_第2页
图片尺寸920x1303
前纵隔恶性肿瘤的ct诊断及鉴别诊断
图片尺寸700x559
前纵膈结节
图片尺寸4624x3472
胸部ct断层解剖(纵隔窗)
图片尺寸600x905
前纵隔侵蚀性胸腺瘤ct病例图片影像诊断分析!
图片尺寸600x912
【讨论】前纵隔占位31650
图片尺寸2400x1988
16层螺旋ct
图片尺寸780x540
前上纵隔增宽高手来看看
图片尺寸3264x2448
胸部ct前纵隔占位
图片尺寸2112x2816
ct纵隔窗
图片尺寸769x736
请教诊断方向 增强ct现已更新
图片尺寸640x835