医疗种植牙齿图片大全

p>随着口腔医学的不断发展,种植牙已成为越来越多人修复缺失牙齿的
图片尺寸1920x1920
哎,随着年龄的增长,牙齿也会逐渐退化甚至脱落,一说到种牙,我爷爷心里
图片尺寸2560x1716
正规口腔医疗机构,资质齐全,医师团队经验丰富,是种植成功的基石.
图片尺寸2048x1536
8万家医疗机构参与集采,采购需求量达287万套……1月11日,口腔种植体
图片尺寸1000x750
微创种植牙需要满足哪些条件?微创种植牙指的是没有切口或者切 - 抖音
图片尺寸2976x1984
深圳爱康美口腔价格表:种植牙价格2300起|金属矫正6000起|牙齿贴面
图片尺寸1222x687
与可摘义齿相比,种植牙是固定修复,不需要每日摘戴,有更好的舒适性
图片尺寸1918x1280
许昌皓博口腔医院(原许昌口腔医院)退役军人免费半口种植牙活动流程
图片尺寸1024x683
董种植牙牙齿种植过程只需51566个步骤就能还你一口健康好牙73
图片尺寸690x1396
正规医院种植牙|矫正|全瓷牙收费不贵 - 口腔资讯 - 牙齿矫正网
图片尺寸5184x3456
半口6颗种植牙图
图片尺寸600x403
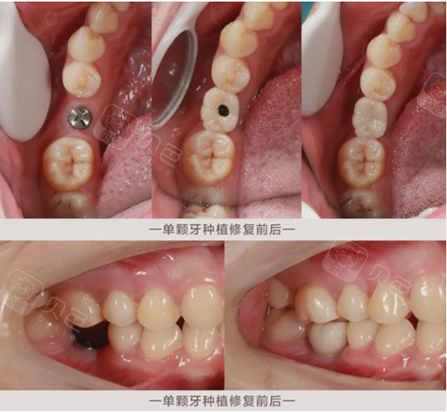
单颗常规种植牙的总价由医疗服务费,种植系统材料费和牙冠材料啡
图片尺寸1200x800
种植牙是一种牙科手术,旨在替代缺失的牙齿.
图片尺寸1024x1024
面对牙齿缺失的困扰,许多患者寄希望于种植牙,期待一劳永逸的解决
图片尺寸2048x1575
种植牙作为一种现代牙齿修复技术,因其稳固,美观,功能性强而备受
图片尺寸2048x1367
记者暗访揭秘西安种植牙猫腻,别想着一夜改变"种牙贵"
图片尺寸1024x683
种植体,愈合基台,牙冠等在内的部分耗材的费用,包括公立医疗机构在内
图片尺寸1000x802
种植牙照片
图片尺寸500x461
种植_全口牙_all-on
图片尺寸1620x3173
牙齿缺失患者必看:即刻种植牙过程需要多长时间?福田裕亨门诊详
图片尺寸1280x720