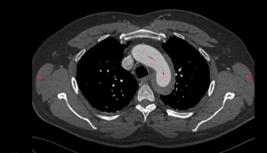
升主动脉ct

胸ct平扫示:①升主动脉明显增粗;②心影增大;不除外心包少量积液,请
图片尺寸706x684
临床医学 正常胸肺部ct影像学ppt 影像学 肺 胸 ct 4,主肺动脉窗层面
图片尺寸1080x810
cta全主动脉血管成像显示完整主动脉血管,动脉瘤形态,大小,长度.
图片尺寸2000x2667
72cm,ct值约58hu,主动脉腔内密度均匀;降主动脉造影剂充盈良好,血管壁
图片尺寸512x512
术前cta影像(箭头所指为升主动脉破口)
图片尺寸693x693
"临产"遇巨大主动脉瘤!接力施术挽救母子生命
图片尺寸1080x1345
鸡蛋壳样升主动脉瘤 - 好大夫在线
图片尺寸5312x2988
升主动脉增宽43mm
图片尺寸4032x3024
升主动脉内可见套筒样改变,非常典型的主动脉夹层.
图片尺寸512x512
患者李坤(化名),53岁,因"胸痛17小时"来院就诊,入院后检查主动脉cta
图片尺寸880x505![当胸部ct发现有主动脉增宽,你会怎么处理? [病例帖]](https://imgs.wantubizhi.com/img/735A5D1F980B52A636CC46F12F2D1A7368EC12F368B8EC05D3BEAFDC3CF3D09489A388BB96B4FCE561B126BACB6508975821F785F0C59EAE134F252D072623DC017FE937D0047FAA7DA54075B0CC5F037D9564002FA4FA6F3EA85C26E559C27E)
当胸部ct发现有主动脉增宽,你会怎么处理? [病例帖]
图片尺寸353x282
ct就不明显这个也明显降主动脉这里非常明显腹主动脉腹主动脉左侧髂总
图片尺寸640x503
ct平扫主动脉内径增宽
图片尺寸2666x2000
导管到达升主动脉,造影显示如术前ct
图片尺寸1412x1200
主动脉夹层动脉瘤及腔内支架修复术
图片尺寸1600x1200
患者ct三维重建,最上方为"巨大"的升主动脉瘤.
图片尺寸376x600
主动脉夹层壁间血肿及穿通性溃疡影像诊断与鉴别
图片尺寸1080x810
主-肺动脉间隔缺损影像-医学影像图
图片尺寸540x530
患者三3 年前于当地县医院行ct检查,诊断为腹主动脉瘤,未手术治疗,3
图片尺寸1160x885
立即将小郭送入手术室行急诊"主动脉窦部成形,升主动脉置换,全弓置换
图片尺寸968x968