半月板损伤图片

右膝半月板损伤
图片尺寸2000x4335
半月板损伤
图片尺寸2000x2667
haodf:8:xiguanjiebanyuebansunshang-->半月板损伤 !
图片尺寸659x630
长期上下蹲造成半月板损伤我院创伤骨科成功为46岁阿姨行半月板缝合
图片尺寸1005x669
干货分享半月板损伤那些事1
图片尺寸900x596
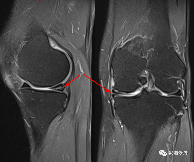
半月板损伤的影像学检查
图片尺寸336x313
三 节 膝关节半月板损伤
图片尺寸1080x810
右膝外侧半月板损伤手术记
图片尺寸2000x2667
前交叉韧带,内侧副韧带撕裂,内侧半月板损伤关节镜微创治疗
图片尺寸2000x2667
膝关节半月板损伤应该及时微创关节镜手术
图片尺寸583x473
半月板损伤
图片尺寸684x496
半月板损伤
图片尺寸492x633
半月板损伤你在几度?二度半月板损伤,三度半月板损伤,如何治疗
图片尺寸463x338
半月板损伤是什么?
图片尺寸484x300
膝关节内外侧半月板损伤,股骨髁软骨损伤关节镜微创治疗
图片尺寸2667x2000
半月板损伤
图片尺寸1080x1920
膝关节半月板损伤关节镜微创治疗
图片尺寸2667x2000
haodf:8:xiguanjiebanyuebansunshang-->半月板损伤 !
图片尺寸500x425
面对半月板损伤,从此不再迷茫
图片尺寸650x542
篮球训练中损伤5天 膝关节屈伸活动受限 但是半月板损伤有些出乎伊舷
图片尺寸2051x2000