半椎体畸形图片

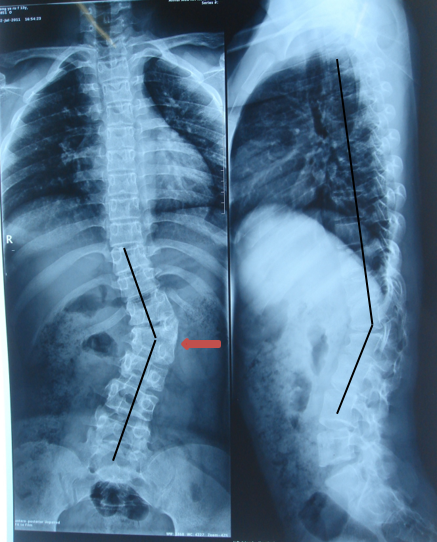
半椎体畸形,第13胸椎
图片尺寸4272x2848
先天性脊柱侧弯(半椎体畸形)病例
图片尺寸450x600
关爱青少年脊柱健康系列之二: 半椎体畸形
图片尺寸435x692
先天性脊柱畸形之:半椎体(一)
图片尺寸640x853
今日分享 #医路有你 #脊柱侧弯 脊柱畸形-先天性半椎体@ - 抖音
图片尺寸1104x2616
脊柱畸形之半椎体切除矫形
图片尺寸960x1280
半椎体畸形
图片尺寸300x318
腰骶段半椎体.地基歪了,塔就是斜的,腰骶段半椎体容易引起脊柱 - 抖音
图片尺寸1920x1440
半椎体畸形是一种先天性疾病,患者的症状多有脊柱侧凸的状况出现
图片尺寸1000x802
先天性脊柱畸形之:半椎体(一)
图片尺寸1440x1920
病例解析004脊椎椎体畸形半椎体蝴蝶椎
图片尺寸316x387
先天性脊柱畸形之半椎体一
图片尺寸1440x1920
经过反复研究讨论,制定出了一整套针对"胸椎半椎体切除脊柱矫形内固定
图片尺寸1080x887
gpso臂导航助力市中心人民医院精准完成又一例脊柱半椎体畸形截骨矫形
图片尺寸360x939
先天性脊柱侧弯2 (半椎体畸形)_张银顺
图片尺寸991x983
先天性腰椎半椎体伴脊柱侧后凸手术半椎体切除
图片尺寸3120x4160
先天性脊柱侧弯1半椎体畸形
图片尺寸437x542
红圈标注:椎体分节不全
图片尺寸640x888
经后路半椎体切除手术矫治先天性脊柱侧后凸畸形(附图片资料) - 好
图片尺寸1200x1600
薛亦男主任介绍,半椎体属于椎体形成缺陷,它确切的病因目前尚无定论.
图片尺寸571x978