卡马西平过敏症状图片

如治疗癫痫的药物卡马西平,过去曾经出现过许多严重药物过敏的案例
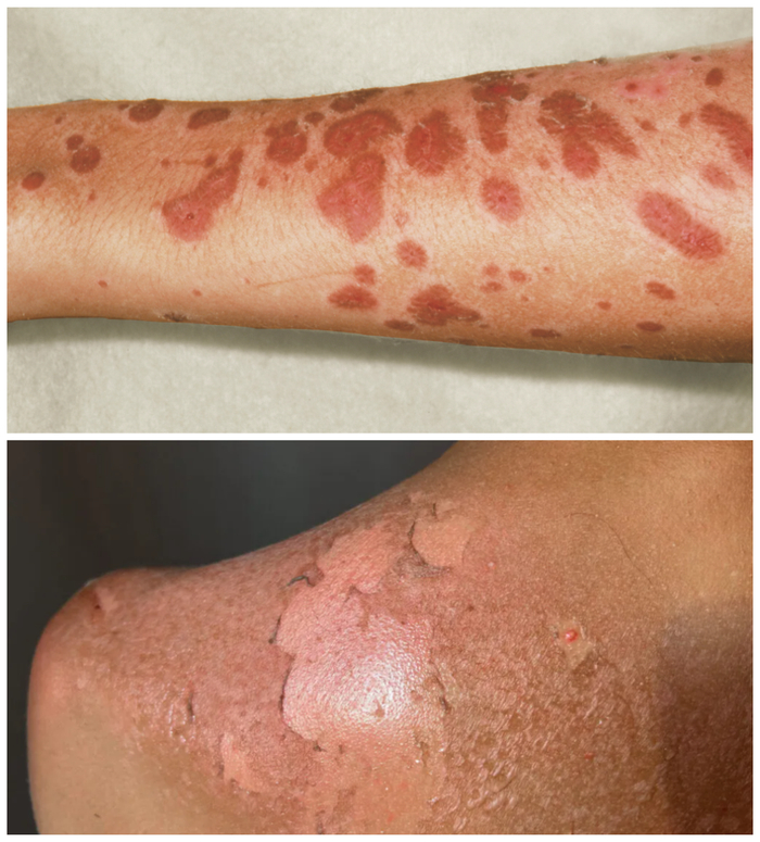
图片尺寸700x775
卡马西平过敏
图片尺寸2048x1536
图片
图片尺寸641x361
【原创】卡马西平致姐弟俩均发生重型药疹(中毒性表皮坏死溶解症)
图片尺寸2592x1944
问: 1.患者的这种皮疹考虑是卡马西平引起的吗? 2.接下去该如何处理?
图片尺寸1080x1591
此患者既往患有症状性癫痫,曾口服卡马西平治疗,好转后停用此药,再次
图片尺寸1024x768
奥卡西平致hlab1502阴性癫痫患者非剥脱性皮疹一例
图片尺寸3346x1061
惊惠州一男子这样服药致全身换皮
图片尺寸1080x999
蚌埠市第一人民医院
图片尺寸640x432
经过治疗,婆婆已经康复出院了"回去不要再把卡马西平当降压药吃了
图片尺寸1080x1440
警惕七旬老人乖乖服药后像烧伤原因竟是儿子买错药
图片尺寸1080x1440
卡马西平在三叉神经痛中的治疗作用和副反应_三叉神经痛_三叉神经痛
图片尺寸500x375
此患者既往患有症状性癫痫,曾口服卡马西平治疗,好转后停用此药,再次
图片尺寸1024x768
五一假期三叉神经瘤疼痛第三次卡马西平9粒
图片尺寸1080x1439
卡马西平片 丙溶酸钠缓释片 药物 两岁半小孩 癫痫轻微症状.
图片尺寸640x853
药物过敏引起的红皮病并不少见,常见的药物有卡马西平,别嘌醇,苯
图片尺寸402x344
抗疟药,苯妥英钠或巴比妥类,别嘌呤醇和卡马西平等)内用或外用可致病
图片尺寸600x300
卡马西平致剥脱性皮炎型药疹1例
图片尺寸1449x1983
手足麻木,疼痛有可能是多发性神经炎,可选择中医外治方法治疗
图片尺寸481x328
6岁男童吃这种药后全身性过敏溃烂 生命垂危|过敏|男童|卡马西平_新浪
图片尺寸550x308