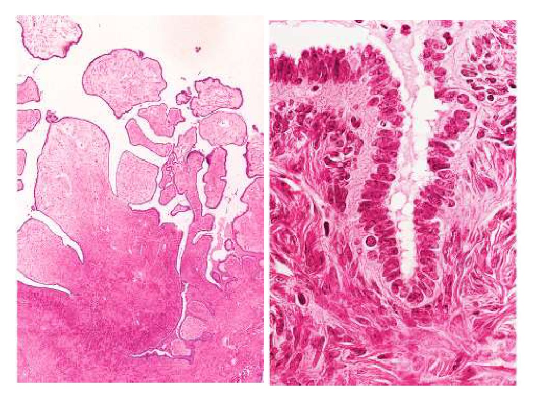
卵巢浆液

6月20排卵的姐妹们聊聊,有图慎入!
图片尺寸750x1001
预产期超过两天,刚刚洗澡下体流出这东西不知道会不会是羊水破了?
图片尺寸399x400
正常排卵流出来的液体图片长什么样?
图片尺寸600x450
孕40周了,昨天晚上将近12点开始下面有白色液体流出
图片尺寸360x480
有这个大概多久会生?有经验的妈妈求告知
图片尺寸765x1024
孕80天整,今坐沙发上突然下体不自觉流出热热的液体
图片尺寸400x400
有图慎入,生过的说下,这个是宫颈粘液吗,今天上厕
图片尺寸960x1280![[2015年6月妈妈帮]孕15周流了一些液体出来](https://imgs.wantubizhi.com/img/A1A61BAA66193547F3A6DD7D8EE527E9DA5233DEC4B99376E3AEFE5E1E0499CAF8C46C21777628756ED1F85888F4893F63C78F5342DE233BED6A5C236C25721FA68A81D5CCCFDB79E8E1285DD9794527E4990E856ED8F050F92D50122047817F)
[2015年6月妈妈帮]孕15周流了一些液体出来
图片尺寸900x540
这是排卵吗
图片尺寸459x816
分泌的这是什么啊,怎么回事.
图片尺寸1052x592
这是什么,有出现过一样的准妈妈吗
图片尺寸750x1000
月经第20天阴道流出图片上这种粘液表示排卵吗
图片尺寸440x294
40周了.今天上厕所一擦.发现了.下面有像鼻涕一样的东西.
图片尺寸960x1280
卵巢浆液性囊腺瘤(单囊)
图片尺寸1080x810
刘亦菲们浆液性卵巢囊肿复发有吃中药好的吗
图片尺寸1080x1440
卵巢浆液性肿瘤
图片尺寸500x344
卵巢粘液性囊腺瘤,2.
图片尺寸300x225
卵巢肿瘤中山大学精品课件ppt
图片尺寸1080x810
诊间日记双侧卵巢浆液性囊腺癌
图片尺寸828x812
卵巢浆液性交界性肿瘤的病理诊断
图片尺寸1080x810