原位癌CT

肺原位癌一定要做手术吗?_肺腺癌_肺腺癌治疗方式 - 好大夫在线
图片尺寸1460x1354
早期肺癌之原位癌ais
图片尺寸552x852
知乎用户tahct5 的想法: 纯磨玻璃结节判断为原位癌,随访了几年
图片尺寸853x816
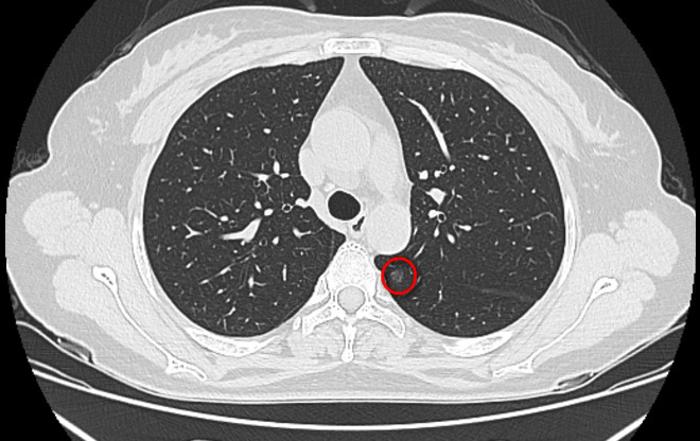
经典早期肺腺癌之肺原位腺癌ct表现
图片尺寸1080x810
经典早期肺腺癌之肺原位腺癌ct表现
图片尺寸1080x810
肺原位癌被开除癌籍得了肺癌没救了有些肺话必须说清楚
图片尺寸469x1000
早期肺癌之原位癌ais
图片尺寸687x747
图3e术后病理(图3f)示:右肺下叶两枚病灶为微浸润腺癌,右肺上叶一枚为
图片尺寸700x441
早期肺癌之原位癌ais
图片尺寸484x871
早期肺癌之原位癌ais
图片尺寸693x523
早期肺癌之原位癌ais
图片尺寸692x553
经典早期肺腺癌之肺原位腺癌ct表现
图片尺寸1080x810
经典早期肺腺癌之肺原位腺癌ct表现
图片尺寸1080x810
经典早期肺腺癌之肺原位腺癌ct表现
图片尺寸1080x810
原位癌,微浸润癌,浸润癌有什么区别?
图片尺寸640x853
早期肺癌之原位癌ais
图片尺寸689x528
经典早期肺腺癌之肺原位腺癌ct表现
图片尺寸1080x810
经典早期肺腺癌之肺原位腺癌ct表现
图片尺寸1080x810
经典早期肺腺癌之肺原位腺癌ct表现
图片尺寸1080x810
经典早期肺腺癌之肺原位腺癌ct表现
图片尺寸1080x810