双排牙

如何预防孩子出现双排牙?拒绝精细喂养,鼓励孩子多咀嚼,多进食 - 抖音
图片尺寸948x696
原创10岁男孩长出"双排牙",父母还自豪是营养好,网友:送医院吧
图片尺寸640x427
双排牙齿通常是已经长出恒牙,但是相应的乳牙还没有退掉 - 抖音
图片尺寸1440x1920
儿童出现双排牙的原因及治疗建议
图片尺寸1080x1440
孩子换牙长出双排牙,丢掉传统12岁矫正,早期干预让牙齿有足够 - 抖音
图片尺寸1500x1000
这样吃饭,孩子容易长双排牙!
图片尺寸1153x1446
孩子长出双排牙,要及时拔旧牙护新牙.
图片尺寸413x352
缝纫机送布牙同步车双排铁牙厚料宽牙齿313双排牙 缝纫配件牙齿
图片尺寸652x652
双排牙.小朋友恒牙已长出,乳牙还未脱落双.排牙专业上叫乳牙滞 - 抖音
图片尺寸1440x1920
最吓人的双排牙宝宝越来越多只因宝妈做了这件事
图片尺寸900x626
双排牙的烦恼,你的小孩也可能遇到!
图片尺寸926x694
双排牙拔掉
图片尺寸500x300
狗狗双排牙多大可以拔(狗狗长双排牙还能自己掉吗)插图(6)
图片尺寸1080x988
杭州6岁孩子长出双排牙这个错误的育儿习惯许多家长都有
图片尺寸720x948
狗狗双排牙危害多,3个技巧完美解决
图片尺寸536x535
双排牙.牙齿缺乏锻炼:若幼儿的饮食过于精细,幼儿的咀嚼对颌骨 - 抖音
图片尺寸1440x1920
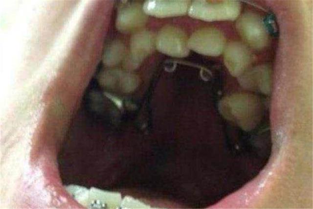
双排牙外观图
图片尺寸500x356
孩子为啥会长"双排牙"?最近门诊上接诊了不少乳牙滞留的孩子, - 抖音
图片尺寸1440x1920
博美双排牙
图片尺寸1080x1439
双排牙示意
图片尺寸301x198