双牙畸形

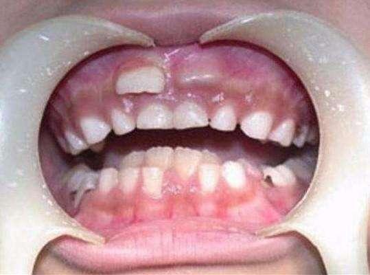
双牙畸形/ 俗称"融合牙"
图片尺寸600x343
8岁小孩长出畸形双排牙,听完牙医的诊断报告,父母愣住了!
图片尺寸640x428
吓人的"双排牙宝宝"越来越多,跟家长的一个坏习惯有关,早点改
图片尺寸859x570
8岁小孩竟长出畸形双排牙牙医都是父母的错
图片尺寸640x727
原创父母晒孩子双排牙齿还以为是孩子发育好网友赶紧送医院
图片尺寸451x720
牙齿畸形有哪些种类?
图片尺寸446x241
孩子出现双排牙,家长该注意了!
图片尺寸800x407
畸形牙一例
图片尺寸1040x780
20岁女子出生后面部畸形 治疗后两门牙间距1.7厘米
图片尺寸605x442
双牙畸形双生牙与融合牙
图片尺寸426x274
孩子长"双排牙",罪魁祸首竟是.
图片尺寸504x690
正因为如此,当家长发现孩子有一颗双牙畸形存在时候,应该及时看牙医
图片尺寸570x436
宝宝的"双层牙"是这样被"喂"出来的, 很多妈妈都还在犯
图片尺寸600x514
8岁小孩长出畸形双排牙,听完牙医的诊断报告,父母愣住了!
图片尺寸539x400
8岁男童长了双排"魔鬼牙",知道真相的父母后悔不已!
图片尺寸468x262
牙齿拥挤怎么矫正?
图片尺寸1343x915
为什么我的孩子会长两排牙齿?该怎么办?
图片尺寸750x390
反合_牙颌畸形 - 好大夫在线
图片尺寸800x533
漂亮女童长出"双排牙"吓坏同学,若不注意这个行为,发病率高达30%
图片尺寸640x424
③儿童替牙期常因局部障碍造成错颌畸形,如乳牙早失和滞留,额外牙和
图片尺寸564x382