双肺结节

体检发现双肺多发微小结节,到底有多严重?医生跟您一次性说清楚
图片尺寸640x327
影像读片双肺多发结节病例帖
图片尺寸3264x2448
【讨论】双肺多发结节灶85149
图片尺寸2172x1596
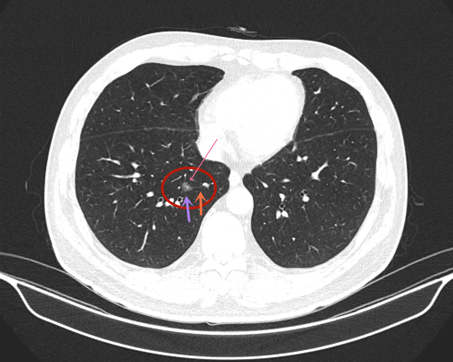
发现双肺下叶小结节会是恶性的吗?马上戒烟能消失吗?
图片尺寸640x417
5种常见肺结节样子.图1:正常的肺ct 图2:肺部膜玻璃结节 - 抖音
图片尺寸1440x2160
双肺外周多发小结节,斑点样病灶
图片尺寸640x480
双肺多发微小结节产生原因及处理策略_肺部结节_肺部结节相关疾病
图片尺寸1080x763
影像读片双肺多发结节病例帖
图片尺寸3264x2448
核保案例分享双肺多发肺结节重疾险除外承保
图片尺寸960x486
双肺多发磨玻璃结节这个病因你知道但想不到
图片尺寸680x367
问诊:两肺多发结节,主病灶位置尴尬,切不切? - 好大夫在线
图片尺寸909x726![【影像读片】进展中的双肺弥漫性结节,有病理——结果已公布 [病例帖]](https://imgs.wantubizhi.com/img/735A5D1F980B52A636CC46F12F2D1A733AFD300793DAC28DDA29AAD8B59D24E20AF04E88C42D1887E906F2F463A86A4D003D22973D1D74D6AC85B1C03B97F4A7338B5C1C8F6244B7D2210A849556DB537D826CC0F8118F112506192A3A392E10)
【影像读片】进展中的双肺弥漫性结节,有病理——结果已公布 [病例帖]
图片尺寸2248x4000
双肺肺结节
图片尺寸1080x1438
两肺小结节
图片尺寸1920x2560
双肺弥漫粟粒状结节影请各位大神分析
图片尺寸4032x3024
ct经典图谱06双肺粟粒状结节血播及鉴别
图片尺寸611x848
【请教】双肺散在结节影,半月复查变化巨大
图片尺寸2560x3342![影像读片:两肺多发结节 [病例帖]](https://imgs.wantubizhi.com/img/ADDA3C5D760C6828B77B505A29D43E839A98C0C65F418A017094B8C03F27F58800EEE7A1002042FC52B4EDFEB6C9EF18694FF72754BCF2EFF5877F6DED6F4B59EE20C70F814058E44C9CAEBFFA4C33CB90F27187156923237750C29A82895A27)
影像读片:两肺多发结节 [病例帖]
图片尺寸1480x2165
【请教】双肺多发结节影
图片尺寸2560x3342
【讨论】双肺多发结节灶85149
图片尺寸2172x1596