双门齿目

鹏程美术微课堂双门齿兽一种已经灭绝的袋类动物的美术课堂表现
图片尺寸1078x1491
双门齿目动物
图片尺寸640x640
双门齿兽动物
图片尺寸500x281
科 petauridae 袋鼯属 petaurus 双门齿目哺乳动物
图片尺寸500x300
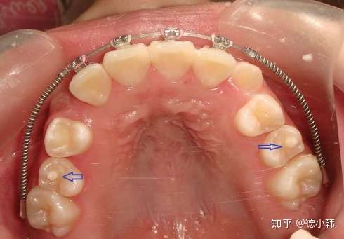
医生,我家孩子长了双排的牙齿,怎么办
图片尺寸612x407
袋鼠是一种有袋类哺乳动物,属于双门齿目袋鼠亚目袋鼠科.
图片尺寸640x960
鹏程美术微课堂双门齿兽一种已经灭绝的袋类动物的美术课堂表现
图片尺寸1075x995
第三卷 基干下孔类 哺乳类 第四册(总第十七册)啮型类i:双门齿中目 单
图片尺寸800x800
双门齿兽骨架图因为这种巨大的体型差异,最开始科学家认为这肯定属于
图片尺寸549x297
多数小孩出现"双层牙"的原因主要是饮食过于精细,牙齿咀嚼功能下降,颌
图片尺寸540x335
澳大利亚发现双门齿兽坟场
图片尺寸600x414
这是一名二十多岁的年轻女孩,面型较好,她的主诉是牙齿排列不齐.
图片尺寸1080x614
为啥孩子会长"双层牙",医生:和家长的喂养习惯有关系
图片尺寸500x335
双门齿目动物.
图片尺寸640x640
(下牙间隙不足,牙齿拥挤)平时应该注意什么?
图片尺寸509x334
怎么处理畸形中央尖
图片尺寸720x501
双门齿兽
图片尺寸350x200
为啥孩子会长"双层牙",医生:和家长的喂养习惯有关系
图片尺寸499x332
犰狳是一种生活在美洲洲的哺乳动物,被归类于贫齿目犰狳科.
图片尺寸640x427
哺乳纲-后兽下纲-双门齿目-袋狮科袋狮体型与人类对比袋狮肩高75厘米
图片尺寸545x342