反颌牙齿

关于幼儿(1-2岁)乳牙反颌病例的早期治疗,牙齿矫正,乳牙反颌病例,牙齿
图片尺寸400x268
每日一病例之前牙局部反颌
图片尺寸640x450
地包天什么时候治疗好牙齿地包天不治有什么影响和危害
图片尺寸500x346
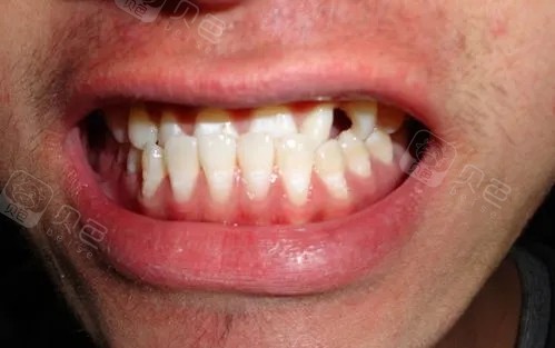
22岁小伙牙齿地包天下巴又长又翘医生手术帮他矫正
图片尺寸550x737
姐姐很小的时候,我们就发现了她的牙齿反颌 - 抖音
图片尺寸1080x1440
牙齿不齐和牙齿有缝
图片尺寸1188x720
小孩牙齿地包天什么时候矫正最好
图片尺寸559x374
儿童牙齿地包天费用公布,两千到三万元不等原来是因为这
图片尺寸400x354
孩子牙齿"地包天"怎么办
图片尺寸624x504
退到对刃,甚至是正常覆盖的状态下的,说明你的反颌是有一定的功能性的
图片尺寸640x345
我国近7成孩子患错颌畸形牙齿不齐地包天究竟何时戴牙套
图片尺寸488x274
牙齿地包天要怎么办?
图片尺寸400x300
"地包天"牙齿,最好什么时候进行矫正?有哪些矫正方法?
图片尺寸448x335
骨性反颌轻微地包天对刃中线不齐牙齿缝隙大26岁男正畸记录
图片尺寸1536x2048
地包天牙齿
图片尺寸480x305
地包天在医学上叫反颌,通常有骨性地包天,齿性地包天及复合性地包天
图片尺寸499x313
牙齿地包天(兜齿)是怎样的一种体验?
图片尺寸720x1280
恒牙期前牙反颌
图片尺寸1280x960
地包天牙齿是一种常见的牙颌面发育性畸形,反颌畸形不但影响面部
图片尺寸673x264
小孩牙齿地包天严重图片
图片尺寸480x320