反颌畸形

龅牙,地包天,小下巴和方脸等牙颌面畸形就医指导-健康160
图片尺寸332x443
乳牙期反颌需早期矫治 - 好大夫在线
图片尺寸4752x3168
术后不会有后遗症 参考资料 反颌畸形的外科治疗 反颌畸形,俗称quot
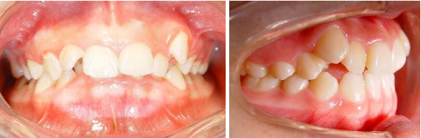
图片尺寸1600x1066![【病例讨论】20岁反颌病例 [病例帖]](https://imgs.wantubizhi.com/img/A1A61BAA66193547F3A6DD7D8EE527E976BBC05AA6CA8ED2C6DD858C861D2FD85107B744B23F4499C73BBBC9EA33D203FF64183D3C3E9A9F8A44A9A58D3952C6A851E4F1167C8D7C37B485B81E3B9F47B3B68637601DA752BDD87D9FFDB2DC7F)
【病例讨论】20岁反颌病例 [病例帖]
图片尺寸500x371
淮海医院口腔科,低龄儿童(地包天)乳前牙反颌一例
图片尺寸2742x2000
反颌:俗称"地包天",即下排牙齿包住上排牙齿.
图片尺寸493x258
23岁地包天兵哥哥小弘矫正巨变真图
图片尺寸765x450
牙颌畸形_牙颌畸形 - 好大夫在线
图片尺寸533x800
牙齿反颌怎么办
图片尺寸490x213
(4)深覆合(5)前牙反颌(6)拥挤(7)间隙(8)不良习惯(吐舌,口呼吸,吮指
图片尺寸884x520
【讨论】小颌畸形
图片尺寸1280x960
骨性反合---"地包天"如何治疗?
图片尺寸464x653
地包天是一种常见的牙齿畸形症状,大家都知道地包天不好看,对患者的
图片尺寸737x510
引起错颌畸形的常见原因有哪些?
图片尺寸597x196
地包天_牙颌畸形 - 好大夫在线
图片尺寸800x533
牙颌畸形_治疗方式_日常注意事项 - 好大夫在线
图片尺寸6960x4640
下颌前突,俗称"地包天",约占各类牙,颌面畸形患者的35%,除影响
图片尺寸600x815
反颌畸形的外科治疗
图片尺寸800x1000
什么是"地包天"和"天包地"面相?无论男女,一生坎坷!
图片尺寸400x390
我国近7成孩子患「错颌畸形」!牙齿不齐,地包天,究竟何时戴牙套?
图片尺寸488x274