反颌面型

骨性反合---"地包天"如何治疗?
图片尺寸464x653
成人骨性地包天,非手术正畸拯救"月牙脸"
图片尺寸1200x800
侧颜杀迷倒一片,就看你有没有"e"线!
图片尺寸702x265
bird.jpg
图片尺寸800x533
功能矫正反颌
图片尺寸1080x607
对于地包天还有反颌的患者,会发现由于他原来是反颌的,上唇没有支撑
图片尺寸640x425
骨性反合地包天如何治疗
图片尺寸422x579
当孩子越来越大,症状还可能加重,下巴前突,面型畸变
图片尺寸640x736
反颌整形让笑容灿烂
图片尺寸1000x709
在湖州成人矫正龅牙和地包天的价格一样吗大概多少钱
图片尺寸537x443
反合不矫正,恒牙仍然会是
图片尺寸1077x672
为何地包天矫正会反弹
图片尺寸900x468
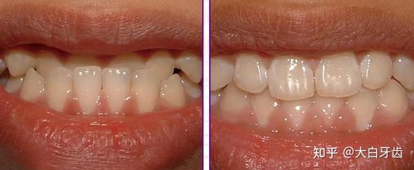
重叠描记图矫正前后口内像对比矫正前矫正后牙列排齐整平,反颌解除.
图片尺寸618x707
地包天整形案例图片记录2个月变化
图片尺寸402x250
地包天 开颌,正畸后获自信进500强
图片尺寸1198x435
下颌前伸习惯: 此习惯可以导致前牙反颌;以及不良吞咽习惯,口呼吸.
图片尺寸1080x892
地包天和正常脸型
图片尺寸891x547
前突,下唇外翻,地包天面型正畸方案现有的问题:上下牙列不齐,前牙反颌
图片尺寸640x232
如果自家小朋友有地包天面型,要尽快带去矫正;别看
图片尺寸720x297
孩子牙齿地包天不治有什么后果
图片尺寸800x344