口腔上膛

为什么口腔上颚会这样,该怎么办?
图片尺寸692x640
我的上颚不知怎么这样子了.突然发现的,没感觉疼痛
图片尺寸768x1024
四岁宝宝上膛起了好多小红疙瘩是咋回事
图片尺寸768x1024
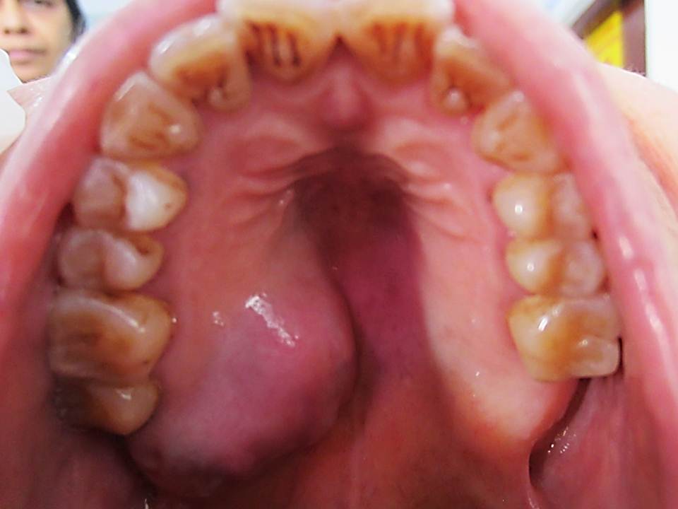
请问下口腔上颚充满血丝,摸起来有一些小疙瘩,嘴唇有一条白色的破损
图片尺寸1920x2560
大家帮我看看,嘴巴上颚长了小点点,用舌头舔能感觉
图片尺寸318x514
口腔上颚长了东西,起初不痛不痒,只有吃辣的或吃甘蔗才会变大变硬,有
图片尺寸768x1024
口腔上颚刚开始是起水泡,后面开始破了之后就开始溃烂.
图片尺寸1152x864
口腔上颚溃烂
图片尺寸960x720
口腔上颚长中间火山坑一样的密密麻麻的是什么?
图片尺寸1024x768
口腔上颚长了个泡,导致牙也跟着疼
图片尺寸600x800
口腔上颚疼痛起泡,总感觉里面好像有水一样舌头顶着会动感觉痛到神经
图片尺寸558x469
口腔上颚做过纤维瘤一个月后伤口又长出一个包是怎么回事?
图片尺寸1152x864
p>软腭:腭(口腔的上膛)的后部,由结缔组织和肌肉构成.
图片尺寸960x720
上颚疼
图片尺寸500x667
口腔上颚不舒服 怎么办
图片尺寸1008x567
请问下口腔上颚充满血丝,摸起来有一些小疙瘩,嘴唇有一条白色的破损
图片尺寸2560x1920
口腔上颚门牙位置感觉不舒服,是什么原因
图片尺寸1024x816
孩子上牙膛红是为什么呢?
图片尺寸600x800
有没有人知道我嘴巴里怎么回事,左边牙龈至上颚明显
图片尺寸1024x1024
上颚白色,在挨着牙齿的地方,中间有小口口,去药店医生说是口腔溃疡,用
图片尺寸584x1040