口腔咬合翼片图片

咬合片
图片尺寸480x300
牙科x光片(咬翼技术)
图片尺寸1200x829![口腔执业-口腔颌面医学影像诊断学(2019)基础[超值精品]--鸿 儒](https://imgs.wantubizhi.com/img/ADDA3C5D760C6828B77B505A29D43E83327116FD6826BCEA8B25854111D16B5D1ED22FFE2C3586DAD7C602E6DD51A817D68C58D94C515D49B464301C6DA30F63458760A8013E95D6D3E37CAC26FD8B85F4967C73D236D03064DA0BC21D24098F)
口腔执业-口腔颌面医学影像诊断学(2019)基础[超值精品]--鸿 儒
图片尺寸303x223
【牙科摄影】上颌咬合面的口腔摄影 摄影要点
图片尺寸640x416
牙医学堂如何在日常诊疗中解决后牙深龈缘的问题
图片尺寸700x534
口腔黏膜——颊部咬合白线的图文介绍 - 好大夫在线
图片尺寸1692x1116
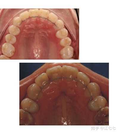
活动翼矫治骨性反合案例--周权_kq88口腔正畸网
图片尺寸500x350
口腔美学临床影像规范介绍和解读
图片尺寸400x260
多学科联合治疗上侧切牙畸形过小牙一例孙丽艳医师
图片尺寸1080x526
为什么看牙时,医生总让你拍牙片?
图片尺寸467x198
侧位片.jpg
图片尺寸580x443
对发音影响很小;不过相对来说影响咬合,容易坏,寿命短,必须小心翼翼取
图片尺寸400x447
术后咬翼片颊侧面腭侧面调19抛光即刻咬合面修复体组织面氧化铝喷砂
图片尺寸1080x918
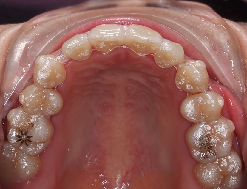
用手将隐形牙套就位后,拿住咬胶的一端,将另一端放入口中轻咬,从口腔
图片尺寸828x636
口腔美学临床影像规范介绍和解读
图片尺寸400x276
图15 病例二修复后曲面体层片总结综上所述,无牙颌种植即刻固定修复及
图片尺寸1055x559
固定矫治牙合垫式活动矫治器,常用于纠正前牙反合及解除咬合锁结,带翼
图片尺寸240x190
口腔大揭秘不良咬合的危害与自测
图片尺寸1080x810
图4 46,45和44翼颌片图5 46,45和44根尖片图6 该结构部位x线片进一步
图片尺寸489x624
阻生智齿干扰性咬合
图片尺寸613x628