口腔正畸nance弓

联合增强支抗型nance托
图片尺寸500x375
可制作丝圈保持器;单侧或双侧上颌第二乳磨牙早失,可制作nance弓保持
图片尺寸690x471
nance弓的弯制上颌间隙保持器
图片尺寸2630x1644
详解正畸横腭杆和nance弓的区别 - 前沿技术 - 开立特口腔
图片尺寸787x501
儿童埋伏牙牵引改良nance弓_拔牙_治疗介绍_治疗方式 - 好大夫在线
图片尺寸804x581
其后移磨牙的弹簧曲由β钛丝制成,并用改良的nance弓增加支抗,一般不
图片尺寸750x500
nance弓要戴多久? - 贝色口腔
图片尺寸400x397
nance弓要戴多久? - 贝色口腔
图片尺寸400x310
徐延 文章列表 nance 弓 (或称 nance 托 )如下图
图片尺寸526x421
nance弓正畸技工制作图谱
图片尺寸520x325
正畸用的腭侧nace弓多少钱,它的作用是什么 - 口腔保健 - 开立特口腔
图片尺寸600x373
正畸矫治过程中,任何施与矫治牙使其移动的力必然同时产生一个方向
图片尺寸708x531
nance弓正畸技工制作图谱-培训知识-周茂强培训网
图片尺寸520x325
正畸最重要的就是支抗设计,该病例中大部分牙齿都还尚未替换,用nance
图片尺寸680x467
nance弓要戴多久? - 贝色口腔
图片尺寸400x358
详解正畸横腭杆和nance弓的区别 - 前沿技术 - 开立特口腔
图片尺寸605x451
跟我认识钟摆式矫治器-山东周医生-口腔正畸医师周茂强的博客-kq88
图片尺寸600x400
nance弓正畸技工制作图谱-培训知识-周茂强培训网
图片尺寸520x325
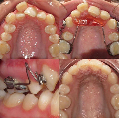
正畸腭弓式nance和tpa横腭杆区别在哪细说作用和适应情况
图片尺寸799x499
正畸腭弓式nance和tpa横腭杆区别在哪细说作用和适应情况
图片尺寸600x337