右侧气胸

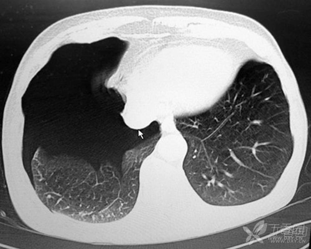
门诊ct检查提示:右侧气胸,肺压缩约70%,右侧肺尖部肺大泡形成.
图片尺寸1600x1200
床旁胸片提示右侧大量气胸,红色箭头指示气胸线
图片尺寸702x530
右侧气胸,经胸腔闭式引流术治疗一月余,仍有大量气体引出,右肺不能复
图片尺寸2000x2667
查体 辅查 胸片示:右侧气胸.
图片尺寸680x561
气胸患者胸部x线表现
图片尺寸600x363
的,而现在胸片也看到左侧没有肺纹理,肺脏被压缩了,那就100%是气胸了
图片尺寸400x405
右侧气胸,胸腔引流管置入术后,黄箭—引流管末端位于右上胸腔,蓝箭
图片尺寸321x378
右侧液气胸,肺组织压缩约35%.
图片尺寸625x485
气胸的x线表现6个病例帮你搞定
图片尺寸381x445
液气胸,右侧多发多处肋骨骨折,皮下气肿,纵隔积气
图片尺寸450x600
气胸,肺大疱的微创治疗 - 好大夫在线
图片尺寸1200x1600
液气胸右侧多发多处肋骨骨折皮下气肿纵隔积气
图片尺寸768x1024
05.04):右侧液气胸,右肺压缩约30%
图片尺寸824x609
气胸患者引流后胸闷反加重只因这个小小的疏忽
图片尺寸660x632
影像读片:是右侧气胸,还是巨大肺大泡?
图片尺寸999x801
高考期间发生气胸怎么办? - 好大夫在线
图片尺寸1184x1079
气胸的诊断及治疗
图片尺寸596x770
呼吸系统常见疾病影像学表现4ppt
图片尺寸1080x810
气胸图示:外部为胸膜腔,左侧为正常的肺,右侧为受挤压的肺
图片尺寸1004x1024
气胸的x线表现6个病例帮你搞定
图片尺寸512x538