右肺上叶

右肺上叶结节
图片尺寸2000x2667
请教右肺上叶是什么?
图片尺寸780x1040
问诊分析:这样的右上肺实性结节像不像恶性? - 好大夫在线
图片尺寸941x849
求助万能的丁香园友,我妈妈胸部ct发现右肺上叶尖段小结节,先谢谢大家
图片尺寸960x1280
这是在弋矶山拍的ct,图2,3,4都是在右肺上叶,所以手术切 - 抖音
图片尺寸800x559
求助万能的丁香园友,我妈妈胸部ct发现右肺上叶尖段小结节,先谢谢大家
图片尺寸960x1280
右肺上叶结节
图片尺寸2000x2667
求助万能的丁香园友,我妈妈胸部ct发现右肺上叶尖段小结节,先谢谢大家
图片尺寸960x1280
相对显得比较散总体印象:患者两肺多发病灶,其中左上叶以及右侧另处均
图片尺寸932x831
右肺上叶结节
图片尺寸2000x2667
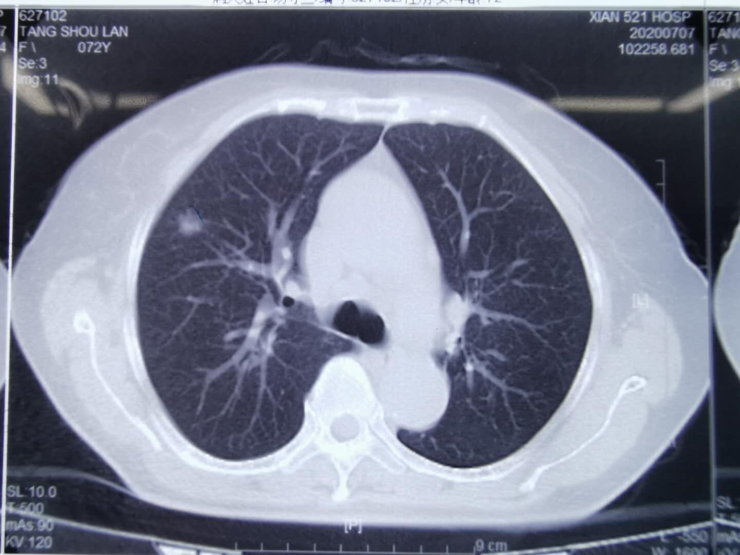
【讨论】右肺上叶结节78756
图片尺寸512x512
结合肺段模式心室层面(见图),选出右肺上叶的组成
图片尺寸348x256
求助万能的丁香园友,我妈妈胸部ct发现右肺上叶尖段小结节,先谢谢大家
图片尺寸960x1280
看见左右主支气管(双眼)层面:右肺上叶前段和右肺下叶背段,左肺上叶和
图片尺寸720x503
王留锁,男,55岁,间断咳嗽咳痰5年,右肺上叶团块及条片
图片尺寸3024x4032
右肺上叶前段磨玻璃结节,术中冰冻病理证实为癌 - 好大夫在线
图片尺寸1440x1080
求助万能的丁香园友,我妈妈胸部ct发现右肺上叶尖段小结节,先谢谢大家
图片尺寸960x1280
肺,肝的分叶分段ppt
图片尺寸1080x810
ct53189:右肺上叶阴影诊断什么?
图片尺寸512x512
肺的分叶气管支气管树与两肺融合显示前后位,双侧位,后前位显示气道肺
图片尺寸624x624