右肺门

肺门和肺段断层解剖及c资料ppt
图片尺寸860x645
2,右侧面观 右肺门结构排列: 上叶b,肺a,上肺 v和下肺v(上至 下); 上
图片尺寸1080x810
picc导管定位方法—x线 看肺门 平肺门水平 右上肺静脉 和右下肺
图片尺寸1080x810
向左转 向右转
图片尺寸962x673
右肺上叶位于乳房的什么方向
图片尺寸745x783
肺的解剖及分段ppt
图片尺寸1080x810
肺门和肺段断层解剖及c资料ppt
图片尺寸860x645
心影位置及大小t1:心脏最右缘至前正中线距离t2: 心脏最左缘至前正
图片尺寸600x433
肺门(神经生物学)肺门:《解剖学》的解释是:肺内
图片尺寸754x626
右肺门区类圆形肿物的鉴别诊断影像天地
图片尺寸1080x764
怎么掌握肺段分布及重要血管?_右肺
图片尺寸533x400
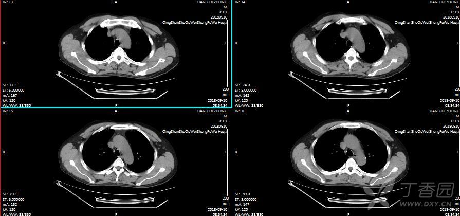
男,50岁,各位老师帮忙看下右肺门,谢谢
图片尺寸895x420
右肺门区类圆形肿物的鉴别诊断影像天地
图片尺寸1080x764
右上叶支气管平面:右肺门可 见右主支气管,右上叶支气管及 其分出的前
图片尺寸1080x810
男,50岁,各位老师帮忙看下右肺门,谢谢
图片尺寸902x417
男58岁,右肺门异常密度影
图片尺寸1600x1200
右肺门区类圆形肿物的鉴别诊断影像天地
图片尺寸1080x764
男,61岁,咳嗽,胸部平片示右肺门增大,请老师们帮忙看下
图片尺寸878x444
右肺门区类圆形肿物的鉴别诊断影像天地
图片尺寸1080x764
肺门角(右):右下肺动脉直径 1.
图片尺寸600x480