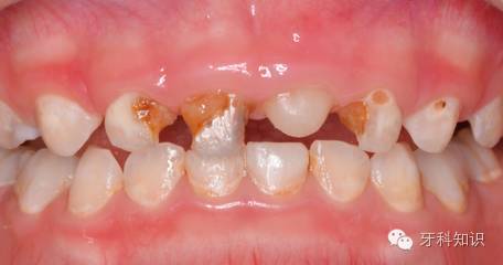
吃糖牙齿坏掉的照片

孩子满嘴"小黑牙",与经常吃糖无关,多半是父母无知造成的_牙齿
图片尺寸1102x756
宝宝从来不吃糖,可牙齿却全坏了,医生一看就骂家长太无知!
图片尺寸611x321
从不给孩子吃糖为何5岁男孩却满嘴烂牙原因出在家长身上
图片尺寸640x425
而有些家长知晓吃糖对孩子的牙齿不好,所以基本不让孩子吃糖,但是孩子
图片尺寸640x411
现在的小孩子,年龄不大,都一口烂牙.
图片尺寸640x487
5岁男孩牙齿全坏最伤牙齿的居然不是糖而是
图片尺寸1080x810
七岁小孩子很少吃糖但牙齿全烂了医生气愤的说家长太无知
图片尺寸420x273
朋友带着孩子去看了牙科,医生却反过来说了朋友一顿:不一定吃糖才会有
图片尺寸456x240
4岁女孩得龋齿20颗牙坏了16颗少吃糖不是关键
图片尺寸660x880
3岁大的孩子,满口小黑牙,大夫检查后直言:和吃糖没啥关系
图片尺寸640x480
宝宝从小没吃糖牙全烂因妈妈无知
图片尺寸358x286
让孩子"烂牙"的不是糖,是家长无知!3种错误行为,一定要避免
图片尺寸660x439
女童牙齿碎成"饼干渣",竟是"吃"惹的祸,别让图省事害了娃!
图片尺寸640x416
图片信息
图片尺寸794x530
被破坏的牙齿
图片尺寸1200x800
牙齿龋坏图片
图片尺寸369x300
最多duō一次性补8课牙,医生说我wǒ是先天性的牙齿发育不良超级郁闷
图片尺寸1024x635
牙齿上出现黑斑是怎么回事_惠州麦芽口腔医院
图片尺寸399x257
后来在两岁多的时候,孩子就说牙齿疼,带着孩子去武汉市第一医院口腔科
图片尺寸660x495
5岁孩子一直很少吃糖, 可是牙齿全坏了, 医生骂家长太无知!
图片尺寸450x296