合体核磁解剖图

心脏磁共振mri解剖
图片尺寸700x673
解剖图谱
图片尺寸1602x962
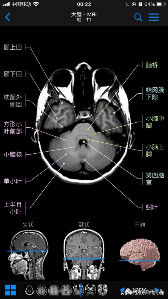
高清mri图颅脑磁共振mri解剖
图片尺寸563x1000
心脏磁共振mri解剖
图片尺寸700x591
垂体磁共振影像解剖
图片尺寸1080x608
心脏磁共振mri解剖
图片尺寸700x553
下丘脑核团的全脑磁共振成像与断层解剖对比
图片尺寸1080x729
【高清mri ct图】腹部mri ct解剖 详解注释
图片尺寸640x808
脑mri必备丨最详细的脑mri解剖
图片尺寸960x720
最全的下肢mri解剖建议收藏
图片尺寸650x488
颅神经 mri 断层解剖【收藏】
图片尺寸918x614
「高清mri图」头颅断层磁共振解剖
图片尺寸640x1138
鞍区垂体磁共振mri解剖冠状面
图片尺寸597x405
高清mri图颅脑磁共振mri解剖
图片尺寸563x1000
影像解剖肩关节磁共振断层
图片尺寸534x421
脑磁共振局部解剖功能图谱
图片尺寸650x488
影像解剖肩关节磁共振断层
图片尺寸557x456
骨盆肌肉解剖mri标识
图片尺寸960x720
颅脑大体及磁共振断层解剖(轴位)
图片尺寸640x480
影像解剖肩关节磁共振断层
图片尺寸514x453