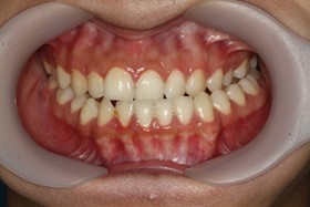
后牙反颌

牙齿拥挤后牙反颌矫治过程
图片尺寸425x255
后牙反合
图片尺寸280x187
迎春节送健康哈医大一院口腔专家提示儿童牙齿不齐需要及时矫治
图片尺寸550x156
牙齿地包天什么时候矫治
图片尺寸1280x852
关于上个反颌的视频好多人让我来个后续,趁娃睡着 - 抖音
图片尺寸1440x1920![【病例讨论】20岁反颌病例 [病例帖]](https://imgs.wantubizhi.com/img/A1A61BAA66193547F3A6DD7D8EE527E976BBC05AA6CA8ED2C6DD858C861D2FD85107B744B23F4499C73BBBC9EA33D203FF64183D3C3E9A9F8A44A9A58D3952C6A851E4F1167C8D7C37B485B81E3B9F47B3B68637601DA752BDD87D9FFDB2DC7F)
【病例讨论】20岁反颌病例 [病例帖]
图片尺寸500x371
后牙反颌这种错颌畸形会增加患颞下颌关节症的风险
图片尺寸326x220
乳牙期反颌需早期矫治 - 好大夫在线
图片尺寸4752x3168
牙齿拥挤后牙反颌矫治过程
图片尺寸458x292
儿童时期「牙齿反颌」那些事
图片尺寸671x934
牙齿拥挤后牙反颌矫治过程
图片尺寸416x268
牙齿拥挤后牙反颌矫治过程
图片尺寸1437x718
孩子牙齿反颌,什么时间矫正最好
图片尺寸399x210
替牙颌期反颌
图片尺寸689x396![【病例讨论】骨性反颌 [病例帖]](https://imgs.wantubizhi.com/img/A1A61BAA66193547F3A6DD7D8EE527E9286EB9A1E588C8449D7036AE97C660DD7B01DBAFE20DB167E682CDEDCF5472EC89C67A59FE34F7938144F99E60C08F30F7E7553D3B7E537E3C4EE7BEA62CE7362EE7CB9C493E5055D8D27195770E3BA6)
【病例讨论】骨性反颌 [病例帖]
图片尺寸640x425
后牙反颌上下牙弓近远中关系异常可表现为下颌前突,近中错牙合及前牙
图片尺寸3216x2136
青少年下颌后缩咬合不对位能用隐适美矫正吗从视频看
图片尺寸642x644
1535971556.png
图片尺寸5184x3456
"地包天"则是另外一种情况:下颌前牙甚至后牙突出于
图片尺寸700x467
【经验交流】一例反颌病例
图片尺寸1400x1010