后脑CT

女朋友从楼梯上摔下不小心碰到后脑,拍ct医生说先观察几天,请能看懂的
图片尺寸780x1052
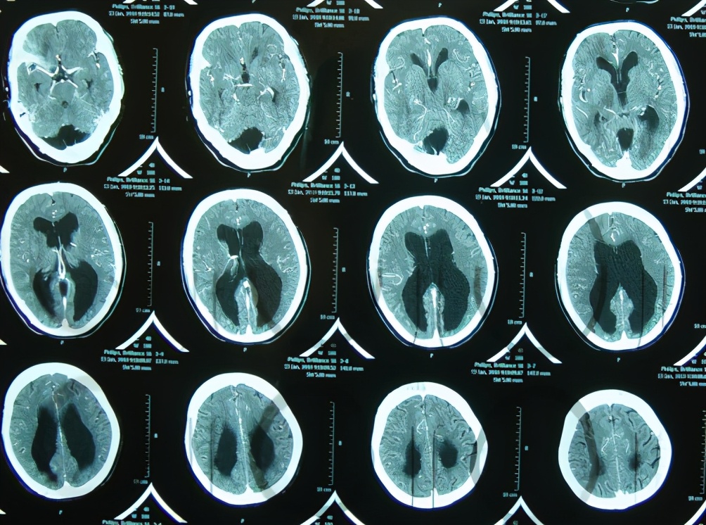
右侧枕叶脑后见大片状稍长t1t2信号头晕眼花记忆力减退
图片尺寸1920x2560
右侧枕叶脑后见大片状稍长t1t2信号头晕眼花记忆力减退
图片尺寸1920x2560
7岁儿童脑出血后脑积水,腰大池引流术后加重感染
图片尺寸804x603
典型的左中后颅窝占位
图片尺寸2592x1944![【读片】急诊外伤头部ct,请会诊! [病例帖]](https://imgs.wantubizhi.com/img/735A5D1F980B52A636CC46F12F2D1A730C64944694DAF7A575F1B1729B0D79C48BD87ADF54E44212A7E9D670BED629A63FE96E8029D197EA2317BC00FCCC763BA8355286CF62911539051B19BEF024467202E51F10F1EBAB3A2576B4EE499EDF)
【读片】急诊外伤头部ct,请会诊! [病例帖]
图片尺寸640x910
发病18小时后手术.术后症状有加重,于术后第二天复查ct
图片尺寸795x1060
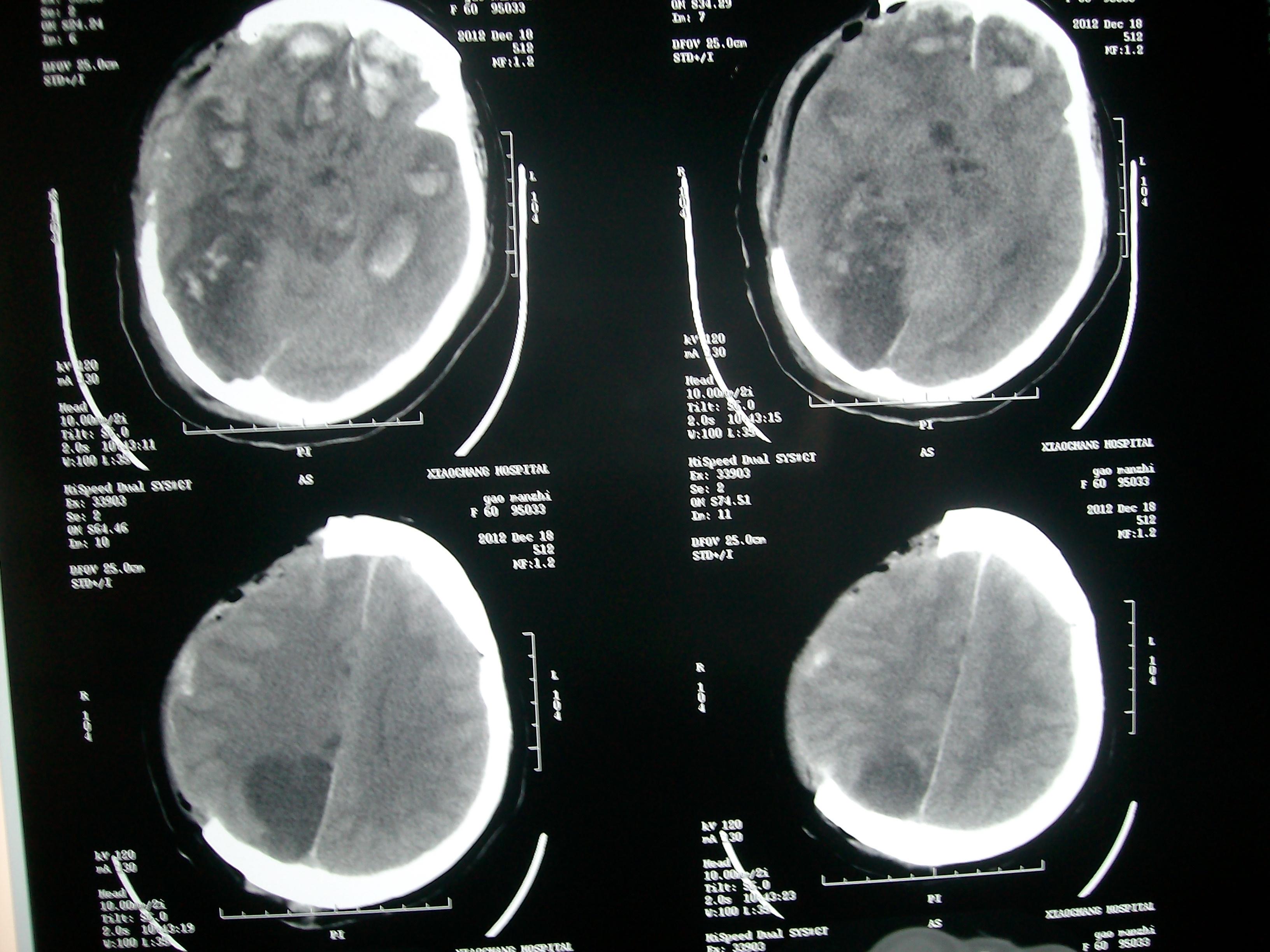
薛开喜今年82岁,站在凳子上约60厘米摔下来了,在水泥地上,右后脑着地
图片尺寸2000x2667
薛开喜今年82岁,站在凳子上约60厘米摔下来了,在水泥地上,右后脑着地
图片尺寸2000x2667
右侧枕叶脑后见大片状稍长t1t2信号头晕眼花记忆力减退
图片尺寸1920x2560
重型脑外伤术后1例讨论
图片尺寸3264x2448
分享一例枕叶侧脑室后角占位病例原创
图片尺寸2913x1793
入院次日查头部ct增强和核磁发现后颅窝枕大池蛛网膜囊肿(图-2,图-3)
图片尺寸1004x746
一例脑疝患者术后脑梗塞
图片尺寸2288x1712
【影像讨论】长在后脑勺的肿块
图片尺寸4272x5696
后颅窝蛛网膜囊肿,看要不要手术?
图片尺寸2880x1746
请教ct大神一张头部ct
图片尺寸3072x4096
图-:2021年9月10日脑ct.png
图片尺寸437x338
薛开喜今年82岁,站在凳子上约60厘米摔下来了,在水泥地上,右后脑着地
图片尺寸2000x2667
男童后脑勺有一肿块,ct 显示颅骨缺损,这是什么病?| 儿科识图_病理
图片尺寸1080x351