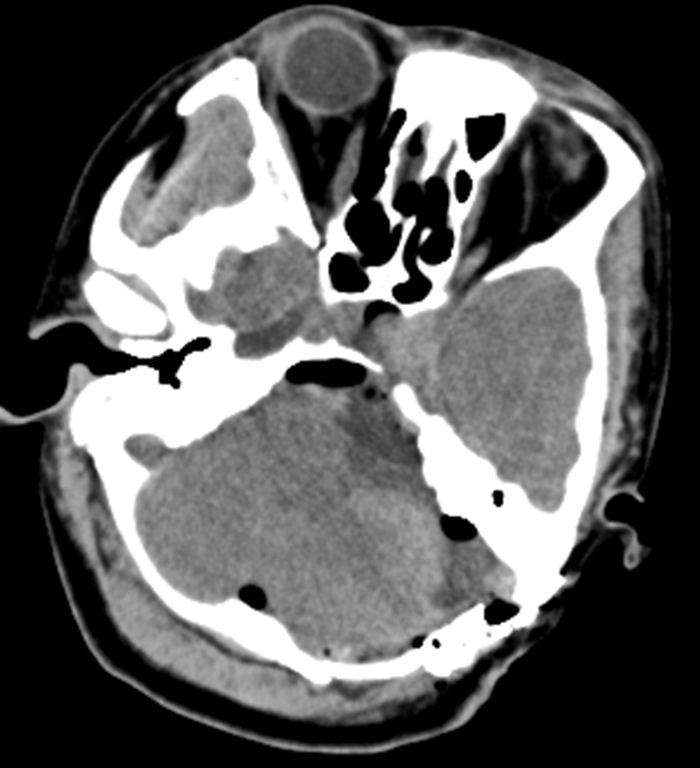
听神经瘤ct表现影像

2021医学顶刊听神经瘤临床诊疗进展综述
图片尺寸650x652
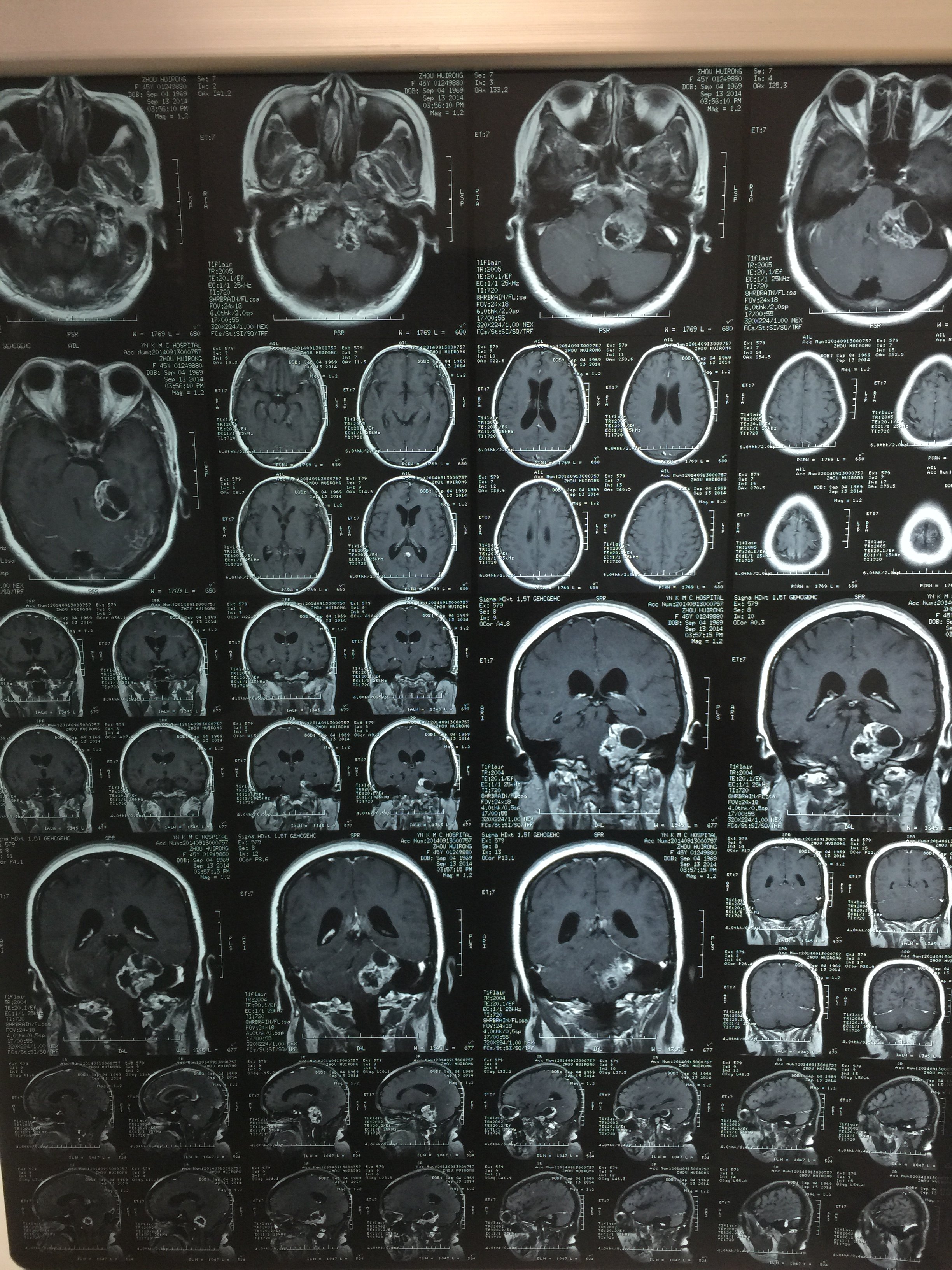
图3-29 听神经鞘瘤ct及mri检查(二)病例2【病史摘要】男,45岁,右侧
图片尺寸629x1020
听神经瘤确诊了
图片尺寸887x1920
神经外科一病区完成1例巨大听神经瘤完全切除手术 - 医疗动态 - 信息
图片尺寸600x763
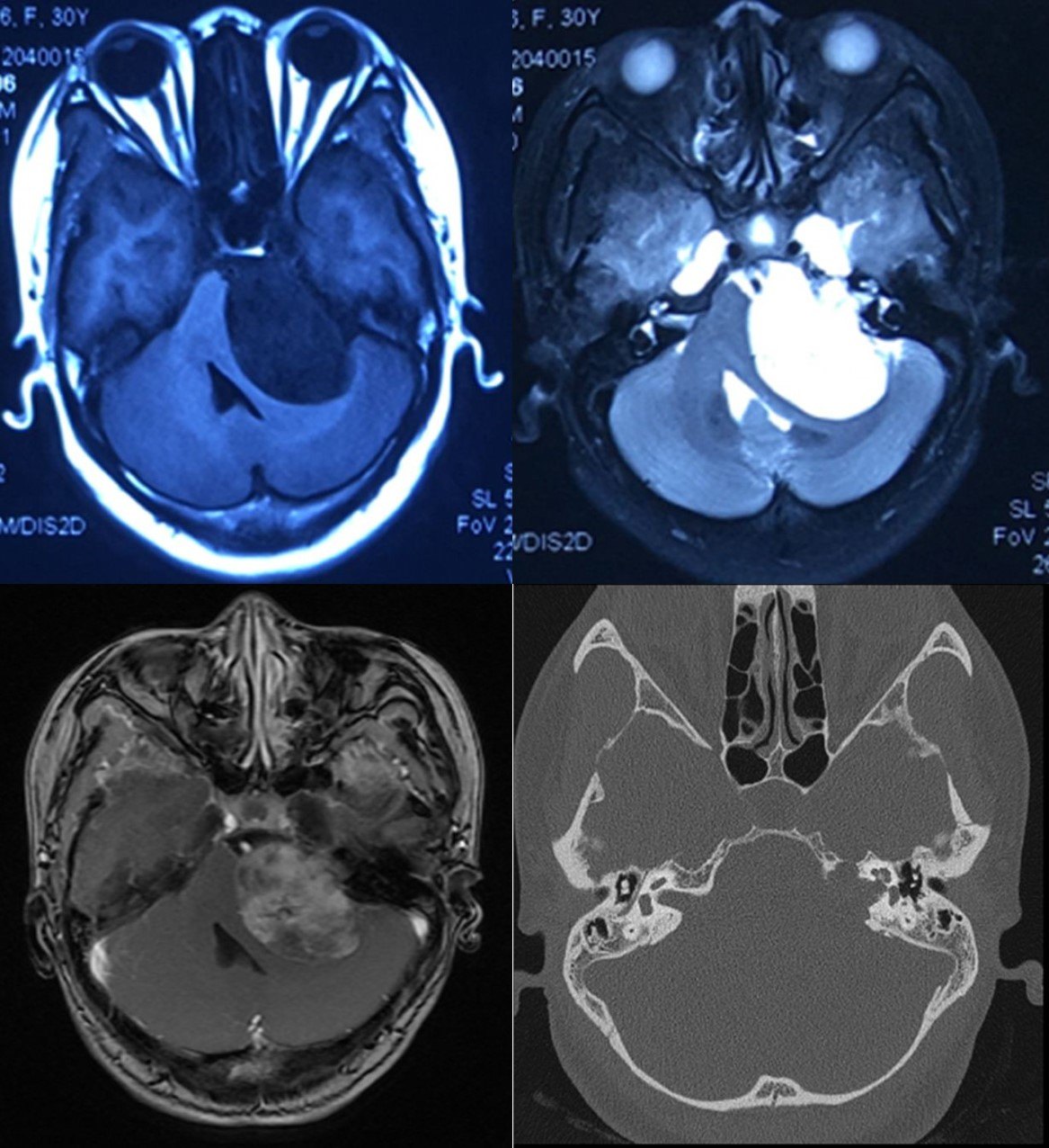
图:听神经瘤nf2 增强mri和ct的表现,红色圆圈标记双侧桥小脑脚听神经
图片尺寸859x440
听神经瘤 - 微医(挂号网)
图片尺寸377x440
听神经瘤的发展过程分期_听神经瘤_疾病介绍_介绍 - 好大夫在线
图片尺寸3699x2093
关于听神经瘤手术切除中的面听神经保护
图片尺寸2500x1831
70岁女性患者,右侧面部麻木1年,入院mri提示右侧听神经瘤.
图片尺寸2000x2667
桥小脑角巨大听神经瘤 - 好大夫在线
图片尺寸1920x887
术后明眸善睐的近3cm听神经瘤患者
图片尺寸1199x1257
表现为三叉神经痛的听神经瘤
图片尺寸525x722
耳鸣听力下降警惕听神经瘤在作怪
图片尺寸640x536
一例脑干内侧型听神经瘤在神经电生理监测下经显微手术达到肿瘤全切
图片尺寸2000x2000
科普堂听神经瘤
图片尺寸1167x1276
后颅窝占位听神经瘤
图片尺寸829x782
听神经瘤.
图片尺寸1200x1601
听神经瘤-肿瘤医院神经外科
图片尺寸700x768
听神经瘤全切除2例,术后无面瘫 - 好大夫在线
图片尺寸2448x3264
年轻人单侧神经性耳聋,耳鸣,要注意听神经瘤的可能_听神经瘤_介绍
图片尺寸448x481