咖啡豆征

看看到底什么是咖啡豆征,有图片和实物!
图片尺寸684x522
咖啡豆征_meitu_3.jpg
图片尺寸640x890
咖啡斑
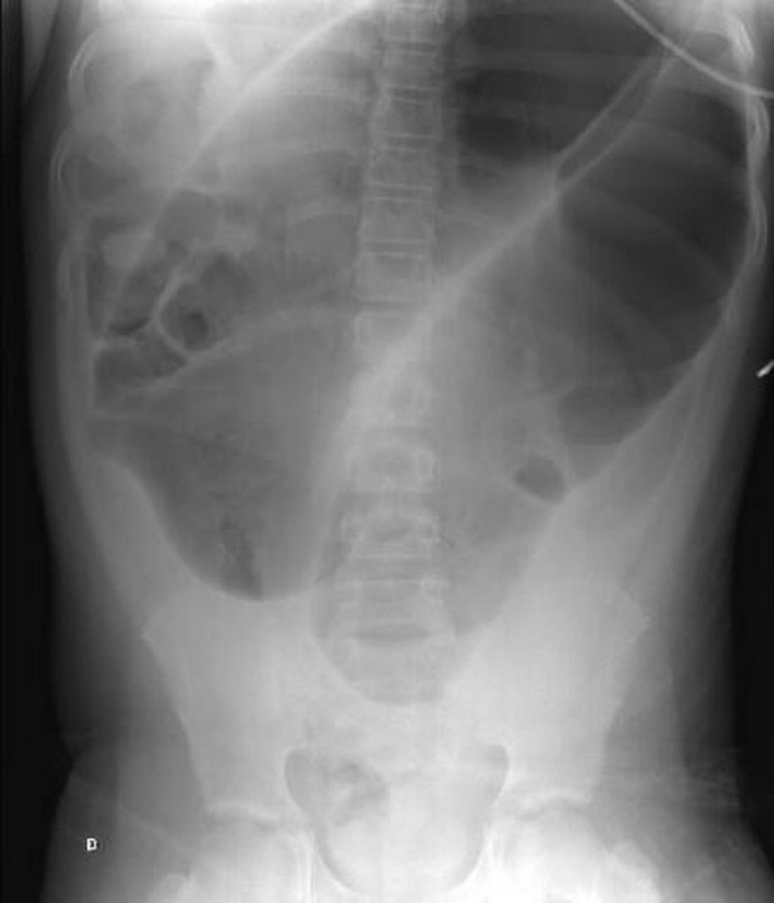
图片尺寸500x333![绞窄性肠梗阻10[卧位示咖啡豆征].jpg](https://imgs.wantubizhi.com/img/ADDA3C5D760C6828B77B505A29D43E83016DEC5EEE73C69FBBB9E3283395BDDBC8C32C019D1490013F311F223FC527A08C8545598FCAA33027DEFEFB0D0968282AFCB8A0544D1B1076D37E532FDB89022AEAD2BDA11AA5256D2BCC19B300BB61)
绞窄性肠梗阻10[卧位示咖啡豆征].jpg
图片尺寸960x1280
咖啡豆征
图片尺寸1080x810
咖啡豆征——乙状结肠扭转的典型影像学表现
图片尺寸1097x1280
咖啡豆征——乙状结肠扭转的典型影像学表现
图片尺寸1857x1280
有哪位同行可以发些腹部的假肿瘤征,咖啡豆征的x片上来看一看.
图片尺寸727x983
咖啡斑科普3:一文教你认识宝宝身上的"咖啡牛奶斑"_咖啡斑_病因_症状
图片尺寸879x924
宝宝身上有咖啡色印记,这是病吗?
图片尺寸507x570
有哪位同行可以发些腹部的假肿瘤征,咖啡豆征的x片上来看一看.
图片尺寸2304x3072
肠扭转胎儿,二维声像图显示"咖啡豆征"
图片尺寸606x433
有哪位同行可以发些腹部的假肿瘤征,咖啡豆征的x片上来看一看.
图片尺寸717x933
牛奶咖啡斑长这样!—一个好听不好看的名字
图片尺寸3264x2448![[病例讨论] 咖啡斑](https://imgs.wantubizhi.com/img/A1A61BAA66193547F3A6DD7D8EE527E9217FAB50379461FE37295664D75657CC9530868352D4998B39919837BC9F08032174AE2E99DA7747AC8782CF01820E692F8C6D232821A05576410B35A59CA9C9266B4ADDC38449820A8FB9242EE59B67)
[病例讨论] 咖啡斑
图片尺寸2248x4000
图像速览 l 内分泌疾病皮肤表现「咖啡牛奶斑」_内分泌疾病皮肤表现
图片尺寸647x848
牛奶咖啡斑长这样!—一个好听不好看的名字
图片尺寸3264x2448
咖啡色斑点
图片尺寸3104x4540
咖啡斑会恶化成神经纤维瘤吗?郑州市第二中医院怎么办?
图片尺寸4000x3000
宝宝脸上长咖啡斑怎么办
图片尺寸582x352