唇系带过低门牙缝隙大

情况跟你差不多,唇系带过低,导致门牙有缝,现在刚带上牙套,医生说后期
图片尺寸720x958
图四:唇系带过低妨碍牙闭合
图片尺寸1280x850
3-7岁孩子乳牙稀疏牙缝大的主要原因有3个:唇系带过低,门牙脱落比较早
图片尺寸576x344
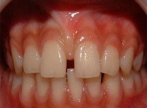
门牙有缝隙
图片尺寸1080x640
上唇系带矫治术后对比二
图片尺寸620x466
如不退缩且在牙床门之间附着过低,就会引起上门牙之间缝隙过宽
图片尺寸300x220
唇系带修整术:唇系带过短,导致门牙缝隙过宽 激光只需要1分钟就可以
图片尺寸705x432
唇系带附着过低的样子
图片尺寸553x738
唇系带过短会带来什么后果
图片尺寸360x640
我女10岁,发现唇系带过底(如图),有医生建议手术,也有说没关系,请口腔
图片尺寸2592x1944
为什么门牙突然有缝了 门牙缝隙大怎么修复最好 - 汽车时代网
图片尺寸1024x673
什么是唇系带过短
图片尺寸519x314
很多家长会带孩子来儿童口腔科咨询,上唇系带夹在两门牙之间形成缝隙
图片尺寸335x370
上唇系带
图片尺寸1280x832
孩子前门牙缝隙大怎么办做唇系带手术有用没
图片尺寸600x375
">"> 正常的唇系带位置 如果唇系带附着较低容易引起前牙产生缝隙
图片尺寸638x389
孩子门牙缝太大,原来是唇系带惹的祸!
图片尺寸1920x1100
由病例见上唇系带与门牙间隙的关系
图片尺寸1620x1080
附着过低)正常唇系带上唇系带位于两个正中门牙之间的牙根部的牙床上
图片尺寸378x423
孩子门牙长成缝隙大怎么办
图片尺寸1000x742