嗑瓜子牙齿缺口图

瓜子豁的病例我有发过吗?这个比较典型
图片尺寸2896x1936
嗑瓜子导致的瓜子牙要补牙吗
图片尺寸500x297
一天,咳咳咳,好了,不要调皮,唱着歌了,废话不多,盘它 其实,这样的牙齿
图片尺寸5184x3456
这样的瓜子牙需不需要补后边怎么保护才能不继续伤害牙齿
图片尺寸540x960
宝宝门牙牙齿有缺口,这是怎么回事?先是有一层黄然后就这样了
图片尺寸360x480
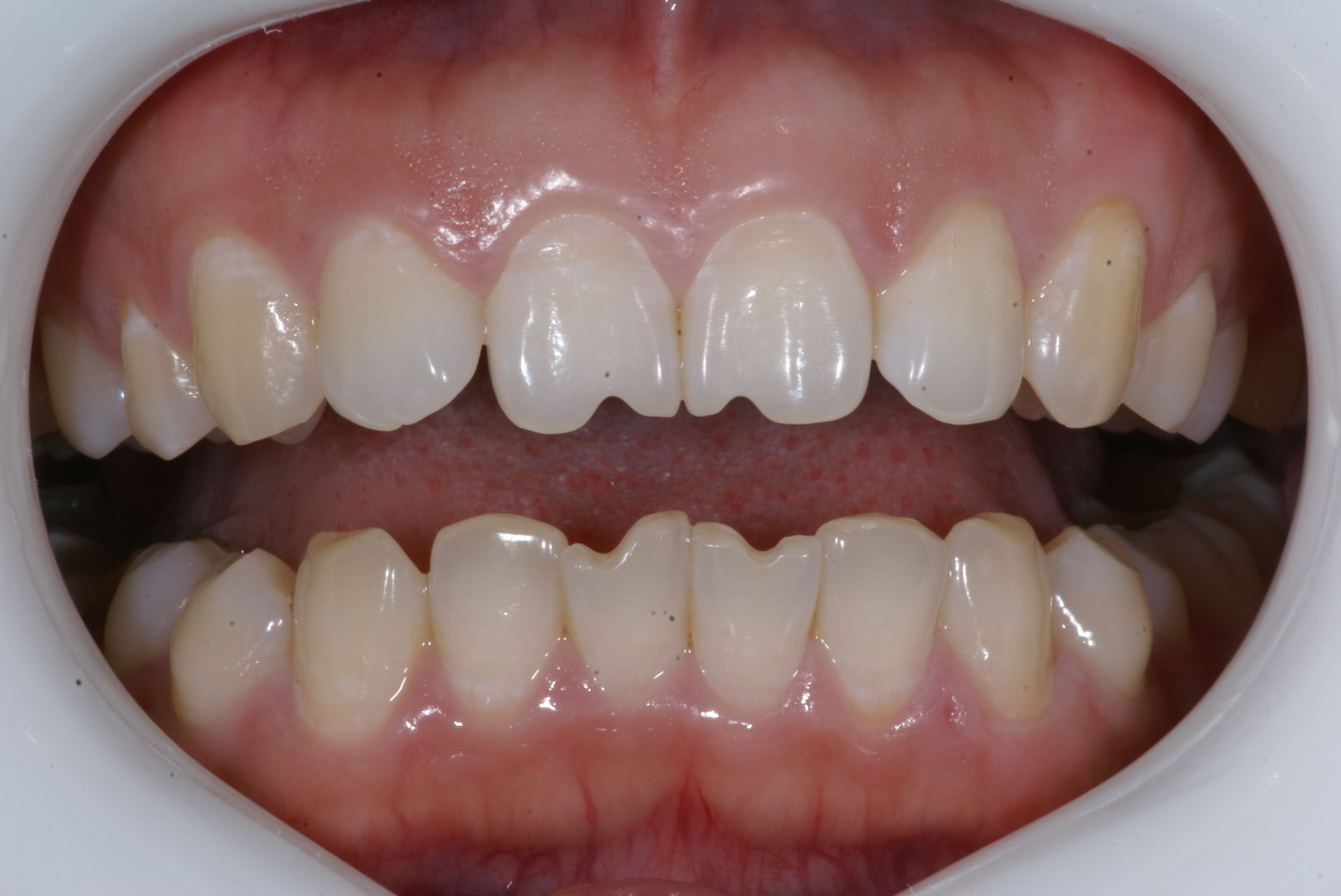
银行的阿姨长期嗑瓜子,前牙切角缺损影响美观,下颌前牙也出现v型缺口
图片尺寸1620x1078
会影响寿命吗?牙齿缺失该如何修复?
图片尺寸640x427
瓜子把牙齿磕嚯了怎么办
图片尺寸768x1024
过完年瓜子磕太多,小心得"瓜子牙"!_牙齿
图片尺寸960x312
美学修复上下前牙缺损的瓜子豁
图片尺寸1280x960
大概可以管多久 50 十年前把门牙磕了个小缺口,现在长大了觉得越看越
图片尺寸1405x862
爱嗑瓜子的注意小心瓜子牙不然这口牙可能就废了
图片尺寸350x236
有一种牙齿缺损叫瓜子牙
图片尺寸800x548
经常嗑瓜子的牙齿,你看了之后,还会嗑瓜子吗
图片尺寸640x1138
有一种牙齿缺损叫瓜子牙
图片尺寸800x535
长沙大学的小杨是一名大三学生因为嗑瓜子时间久了,磨伤了前牙,牙齿切
图片尺寸622x305
我的牙龈特别松,牙齿特别黄,一碰撞或者有时候刷牙的时候牙龈也流血
图片尺寸450x338
2,瓜子牙导致牙齿过敏,喝冷热酸甜的食物出现酸痛.
图片尺寸480x713
长时间嗑瓜子门牙易断裂-牙齿缺损-苏州牙博士口腔连锁
图片尺寸252x297
嗑出"瓜子牙"可千万别不当回事,小心小缝不补,变大后追悔莫_牙齿_患者
图片尺寸596x403