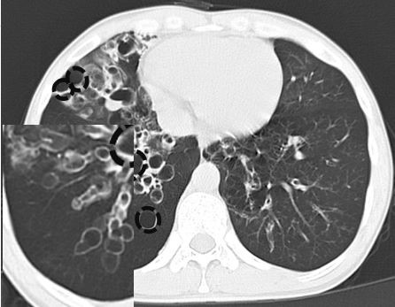
囊状支气管扩张

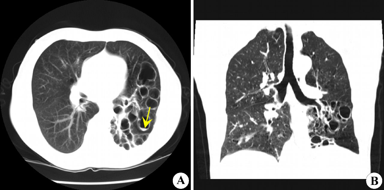
支气管扩张并曲霉菌球
图片尺寸934x587
3.囊状支气管扩张
图片尺寸422x342
3类支气管扩张相关疾病的影像学(多图)
图片尺寸604x570
3类支气管扩张相关疾病的影像学(多图)
图片尺寸594x314
mdt大咖秀段慧萍吴吉丽囊性支气管扩张背后的故事
图片尺寸1080x608
3.囊状支气管扩张
图片尺寸450x347
先天性囊性支气管扩张
图片尺寸1280x634
其它 这个季节,让我们对支气管扩张说"no"! 写美篇囊状支气管扩张
图片尺寸858x652
3.囊状支气管扩张
图片尺寸462x334
支气管扩张症简介
图片尺寸2688x1242
呼吸| 支气管扩张症
图片尺寸1080x856![【病例会诊】这个是什么病?(囊状扩张) [病例帖]](https://imgs.wantubizhi.com/img/A1A61BAA66193547F3A6DD7D8EE527E98E97C96DBBF4F95D2EF4F92933BEB3DA42100CF8C3157EDCBA435002EF814D5FCF278C882F9B950250640A52843DD04C68DCE5726799EA22DF995E236FCEC4B6A0EF23463F11CADEC9AF02EA7B8D89A0)
【病例会诊】这个是什么病?(囊状扩张) [病例帖]
图片尺寸4208x2368
mdt大咖秀段慧萍吴吉丽囊性支气管扩张背后的故事
图片尺寸1080x608
图注:囊状支气管扩张.
图片尺寸818x418
呼吸内科开展首例支气管镜下气道球囊扩张术
图片尺寸1656x1242
支气管扩张能治愈吗
图片尺寸340x373
支气管扩张
图片尺寸500x375
支气管扩张
图片尺寸408x384
3.囊状支气管扩张
图片尺寸446x347
支气管扩张典型影像学表现
图片尺寸598x372