囊虫病人

幼虫会通过人体循环,进入各组织器官发育为囊虫,最后演化成囊虫病.
图片尺寸698x469
与猪肉有关!澳洲女子突然神志不清,脑部出现大量可怕虫卵!_囊虫
图片尺寸1080x1351
2010绦虫概论,猪带,牛带ppt
图片尺寸1080x810
皮肌型囊虫病 (舌,唇部囊虫结节)
图片尺寸1080x810
被告知患有"脑囊虫病"据了解,韦先生到医院检查后不过病情一直没有
图片尺寸660x467
近日,她全身反复出现疼痛,检查确认婷婷患了"囊虫病",全身多处长满
图片尺寸362x360
皮肤猪囊虫病
图片尺寸1229x1404
强行拔下戒指脑囊虫病胎儿颅骨本文口味太过厚重,非学医者慎入,发生
图片尺寸577x280
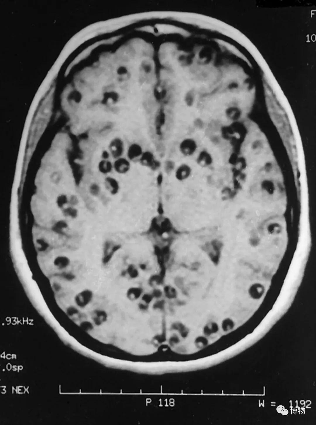
通过脑部扫描发现,他的大脑有肿胀和损伤,这是脑囊虫病(neuro
图片尺寸1080x1451
影像学病例分析:全身播散性囊虫病 3 例
图片尺寸640x219
影像学病例分析:全身播散性囊虫病 3 例
图片尺寸596x622
颈部囊虫结节
图片尺寸160x148
常吃没煮透的肉 19岁女孩感染脑囊虫病
图片尺寸440x302
囊虫的治疗建议
图片尺寸600x800
典型图片:肌肉囊虫病
图片尺寸1004x597
难以察觉 医生介绍,李先生同时感染了肝吸虫,裂头蚴和囊虫的幼虫,好
图片尺寸850x568
我想让眼睛只是眼睛不再长石头虫子蘑菇和牙齿陶勇
图片尺寸1336x1202
2010绦虫概论,猪带,牛带ppt
图片尺寸1080x810
核心提示:最近云南23岁的婷婷全身出现不明原因疼痛,经检查为囊虫
图片尺寸485x300
软组织囊虫病钙化
图片尺寸800x638