回盲瓣ct

回盲部病变
图片尺寸600x600
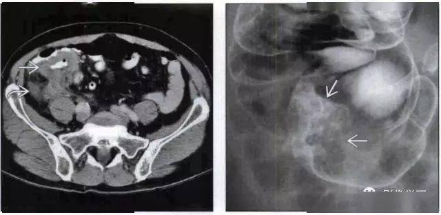
回盲部占位或炎症的影像鉴别诊断
图片尺寸1080x810
回盲部占位或炎症的影像鉴别诊断
图片尺寸1080x810
回盲部解剖特点及其病变的影像诊断
图片尺寸1080x481
回盲部病变,炎症还是肿瘤?一周后公布病理
图片尺寸3000x3171
10幅图教你学会在ct片上找到阑尾!_盲肠
图片尺寸688x305
回盲部占位或炎症的影像鉴别诊断
图片尺寸640x312
回盲部占位或炎症的影像鉴别诊断
图片尺寸1080x810
回盲部解剖特点及其病变的影像诊断
图片尺寸869x599
回盲部占位或炎症的影像鉴别诊断
图片尺寸1080x810
疾病谱回盲部占位或炎症的影像鉴别诊断
图片尺寸1080x547
外伤患者如何看肠管掌握这些影像征象就够了
图片尺寸1042x353
成功完成回盲瓣lst的esd - 好大夫在线
图片尺寸1080x560
消化系统少见病系列(三十六):挑战性的胆道狭窄(答案公布)
图片尺寸2067x1182
回盲部病变肿瘤性炎性有病理结果
图片尺寸512x512
结肠镜检查显示回盲瓣明显肿胀(图b),伴有糜烂性盲肠炎(图c).
图片尺寸554x498
回盲部占位,考虑结肠癌(ct3n2m1),累及回盲瓣及近端小肠;腹部ct(2016
图片尺寸385x284
全面讲解正常阑尾和阑尾炎的ct表现
图片尺寸640x480
阑尾未见显示,切除?
图片尺寸850x678
最全的阑尾炎ct诊断方法-medsci.cn
图片尺寸640x480