团块状

昨晚6点传代,今天下午三点看,镜下培养液中漂浮着很多这种团块状物
图片尺寸500x666
消化后老是有这种不规则呈团块状的东西
图片尺寸5184x3456
一,城市形态 组团状 团块状 条带状
图片尺寸1080x810
粘土采样器干燥.测试釉料用圆团块状西班牙石块
图片尺寸700x467
团块滨珊瑚
图片尺寸500x375
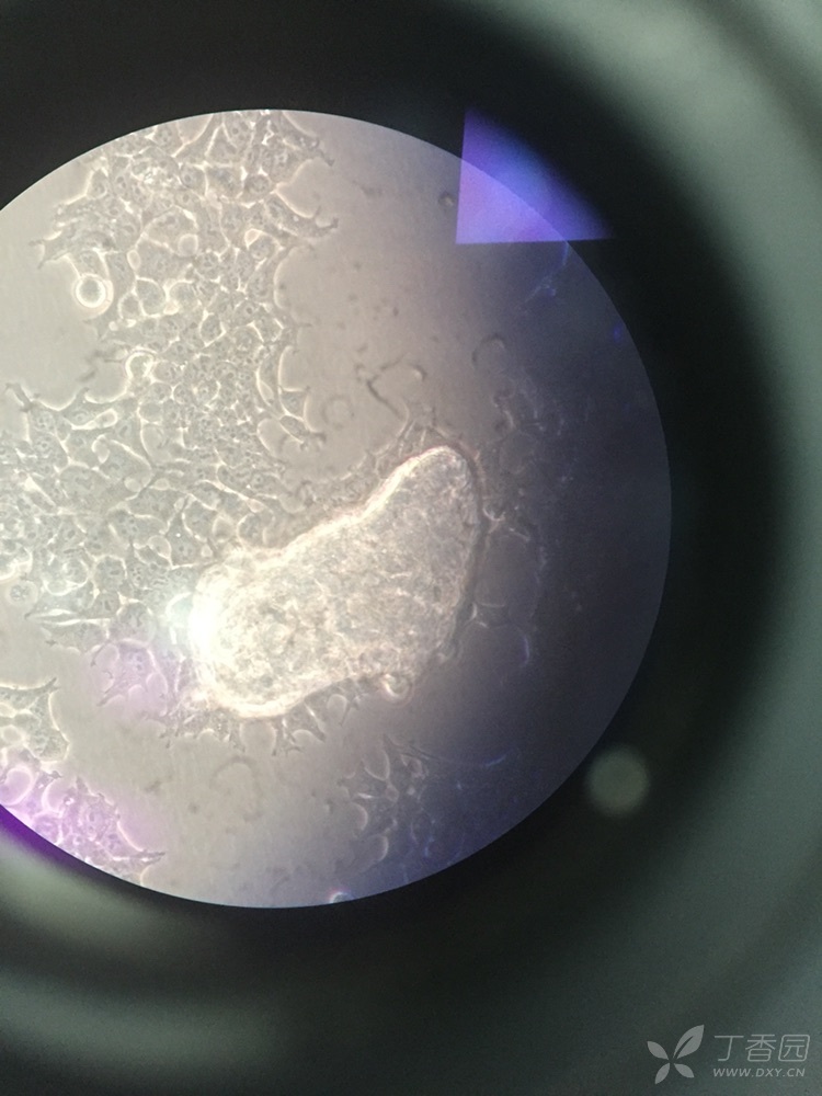
293t细胞上有黄色的团块状的污染,请问只是哪种污染呢?
图片尺寸750x1000
城市土地利用和功能分区 回顾:地形对聚落的影响 成都 (团块状) 兰州
图片尺寸1080x810
肝右后叶见一较大团块状稍低密度影,大小约12.7x9.
图片尺寸419x264
幼红细胞胞浆量减少且着色偏蓝,核固缩成团块状,示核老浆幼现象.
图片尺寸640x640
所以称其为"伏灵",就是松的灵气伏结在根部而形成的一个团块状的一个
图片尺寸640x480
幼红细胞胞浆量减少且着色偏蓝,核固缩成团块状,示核老浆幼现象.
图片尺寸640x480
婚礼花艺分享2661514种常见【团块状花材】93 98 花材根据
图片尺寸960x1280
"翠绿的团块状蛋糕"之 朵朵藓
图片尺寸640x480
病理 可见真表皮带有一无浸润带,真皮全层见炎症细胞呈团块状及灶状
图片尺寸1920x2560
何首乌 廖科植物 干燥块根 呈团块状或不规则纺锤形 表面红棕色或红
图片尺寸1080x919
再来一张图片,也是同一批试剂作用下的细胞,这种团块状的东西,不知道
图片尺寸4288x2848
可见弹性纤维变性,断裂, 排列不规则,病变区域表现为嗜碱性变,呈团块
图片尺寸567x759
真皮及皮下组织内有颗粒或团块状钙盐沉积上图:阴囊特发性钙质沉着.
图片尺寸661x496
团块状磁铁矿矿石 - 地质学国家级实验教学示范中心
图片尺寸2700x1800
生品呈团块状或不规纺锤形,表面红棕色或红褐色,横切面有云锦状花纹
图片尺寸336x464