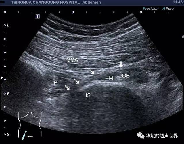
坐骨神经阻滞超声图

神经超声解剖臀部坐骨神经
图片尺寸640x499
超声引导下外侧入路坐骨神经阻滞
图片尺寸650x481
超声引导下外侧入路坐骨神经阻滞
图片尺寸650x482
超声引导下低位坐骨神经阻滞术
图片尺寸1729x1080
超声引导下外侧入路坐骨神经阻滞
图片尺寸650x481
瑞金超声专题超声引导下坐骨神经阻滞
图片尺寸400x267
超声引导下腘窝坐骨神经阻滞
图片尺寸1080x608
超声引导下外周神经阻滞技术应用专家共识
图片尺寸504x366
业务开展特检科超声检查新业务简介
图片尺寸960x720
瑞金超声专题超声引导下坐骨神经阻滞
图片尺寸418x303
超声引导下外侧入路坐骨神经阻滞
图片尺寸650x480
瑞金超声专题超声引导下坐骨神经阻滞
图片尺寸355x241
超声引导下腘窝坐骨神经阻滞
图片尺寸1080x608
超声引导下腘窝坐骨神经阻滞
图片尺寸1080x608
超声引导下外侧入路坐骨神经阻滞
图片尺寸650x488
神经超声解剖臀部坐骨神经
图片尺寸640x501
坐骨神经瘤(短轴)
图片尺寸3261x2445
超声引导下腘窝坐骨神经阻滞
图片尺寸1080x608
应用范围和适应症超声下坐骨神经肌骨超声
图片尺寸960x720
超声引导下腘窝坐骨神经阻滞
图片尺寸1080x608