垂体囊肿

看到垂体增大,不要忘了 rathke 囊肿
图片尺寸640x443
【临床病例分析】鞍区rathke囊肿的诊断及治疗方案
图片尺寸496x527
史上最全垂体rathke囊肿的mri诊断与鉴别
图片尺寸960x720
不育不孕与脑垂体瘤
图片尺寸449x323
看完14个病例一起来认识这个表现多样的rathkes囊肿
图片尺寸1080x881
了头颅磁共振,结果和隔壁村张大爷一样,都是长得像"雪人"一样的垂体瘤
图片尺寸1080x707
女性脑垂体瘤好治疗吗?
图片尺寸600x600
1,皮脂腺囊肿(粉瘤)皮脂腺囊肿也就是粉瘤,是由于皮脂腺排泄管堵塞
图片尺寸500x666
神经外科成功实施神经内镜下鼻孔入路巨大侵袭性垂体瘤微创手术治疗
图片尺寸600x1178
垂体rathke囊肿你见过这种影像表现吗注意鉴别诊断
图片尺寸486x443
垂体囊肿多见于中年女性,发病的部位在颅脑,无遗传性
图片尺寸719x502
看完14个病例一起来认识这个表现多样的rathkes囊肿
图片尺寸640x530
经鼻蝶神经内镜手术 治愈鞍区垂体卒中
图片尺寸500x571
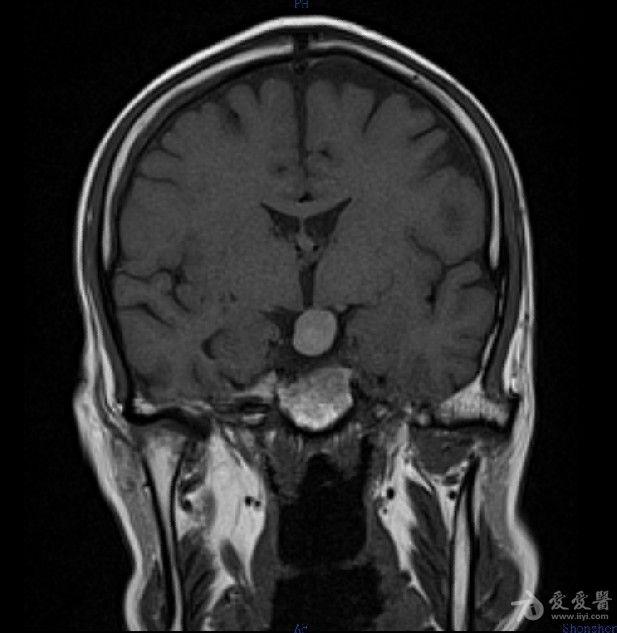
病例30:rathke囊肿
图片尺寸617x633
t1wi 高信号的神经垂体前方case 5:m/52y矢状位 t2wi 示:高信号囊肿和
图片尺寸1080x743
c)显示垂体间质部(箭头)附近t2高信号和t1低信号的无增强的囊肿(箭头)
图片尺寸1604x548
垂体rathke裂囊肿mr表现
图片尺寸960x720
垂体rathke裂囊肿mr表现
图片尺寸960x720
垂体rathke裂囊肿mr表现
图片尺寸960x720
垂体rathke裂囊肿:是一种少见的先天性发育异常
图片尺寸892x1128