垂体瘤CT

神经外科新技术––经鼻蝶垂体瘤切除术
图片尺寸1200x1600
无故头痛眼花,当心垂体瘤!
图片尺寸660x462
长条型垂体瘤,并脑积水
图片尺寸3264x2448
鼻内镜下微创切除后视力恢复_垂体瘤_垂体瘤治疗方式 - 好大夫在线
图片尺寸1836x884
行内镜下经蝶垂体瘤切除术
图片尺寸1198x1598
垂体微腺瘤致高泌乳素血症患者,术后用溴隐亭治疗而受孕
图片尺寸930x523
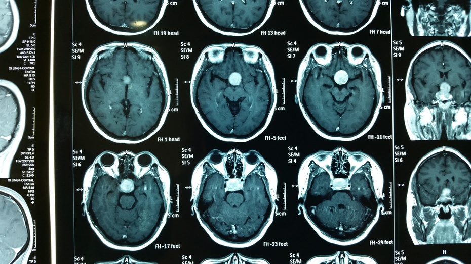
200366 垂体瘤 两次比较
图片尺寸1012x1032
贺晓生教授:垂体瘤经蝶切除实例
图片尺寸930x523
垂体瘤微创手术治疗之经鼻手术_垂体瘤_垂体瘤治疗方式 - 好大夫在线
图片尺寸806x926
经蝶垂体瘤切除是最佳手术入路_垂体瘤_垂体瘤治疗方式 - 好大夫在线
图片尺寸1080x1080
贺教授课堂谈垂体瘤的非手术治疗
图片尺寸3968x2976
垂体瘤相关科普知识介绍及就医参考 (原创)
图片尺寸3968x2976
垂体瘤,郝云云,男性,41岁,体检发现鞍区病变50余天,突发头痛恶心3天.
图片尺寸2000x2486
贺教授课堂谈垂体瘤的非手术治疗
图片尺寸3968x2976
头颅ct:瘤体消失(图4,5)分析:儿童鞍区常见颅咽管瘤,垂体瘤相对少见
图片尺寸2048x1536
原创母爱的力量——疫情期间成功救治一名垂体瘤"准妈妈"
图片尺寸640x559
【贺晓生教授案例】谈"垂体瘤"的非手术治疗! - 好大夫在线
图片尺寸1000x750
垂体瘤的诊断与治疗方法简介
图片尺寸610x564
生长激素型垂体瘤的治疗
图片尺寸851x953
神经内镜下顺利切除二台侵袭性垂体大腺瘤 - 好大夫在线
图片尺寸1957x1969