垂体mr

【病例】不典型的垂体瘤1例mr影像表现
图片尺寸512x512
脑垂体mr薄层扫描
图片尺寸1199x1199
垂体解剖及非肿瘤性病变mr诊断
图片尺寸960x720
小垂体,大世界——经鼻微创手术治愈脑垂体瘤
图片尺寸461x459
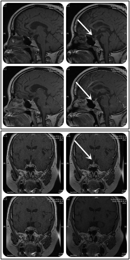
病例三,男,57,颅脑磁共振体检中发现垂体病变,高度可疑垂体瘤
图片尺寸2000x2667
垂体肿瘤压迫视神经导致双眼近乎失明,鼻内镜下微创切除后视力恢复
图片尺寸1781x808
垂体瘤的mr诊断与鉴别诊断
图片尺寸960x720
内分泌科住院确诊库欣病,影像学提示垂体左侧不规则腺瘤伴垂体柄增粗
图片尺寸500x1000
垂体病变的mri诊断
图片尺寸1080x795
核磁确认垂体瘤
图片尺寸3021x4029
垂体瘤的mr诊断与鉴别诊断
图片尺寸960x720
55岁的朱阿姨2年前出现视物模糊,在当地医院就诊,头部mr检查考虑垂体
图片尺寸525x667
垂体瘤的mr诊断与鉴别诊断
图片尺寸960x720
垂体rathke裂囊肿mr表现
图片尺寸960x720
贺晓生教授垂体瘤开颅切除术案例
图片尺寸4128x2322
磁共振垂体扫描pituitarymrimaging一
图片尺寸827x593
垂体rathke囊肿,你见过这种影像表现吗?注意鉴别诊断!
图片尺寸486x443
小垂体,大世界——经鼻微创手术治愈脑垂体瘤
图片尺寸453x484
侵袭性垂体瘤mr征象分析影像天地
图片尺寸960x720
侵袭性垂体瘤mr征象分析影像天地
图片尺寸960x720