增生牙

颌面牙槽骨增生
图片尺寸640x442
像牙齿没长出来一样,摸起来硬硬的,不痛,想知道是牙槽骨骨质增生还是
图片尺寸937x798
牙齿上长了骨质增生怎么治疗?
图片尺寸854x640
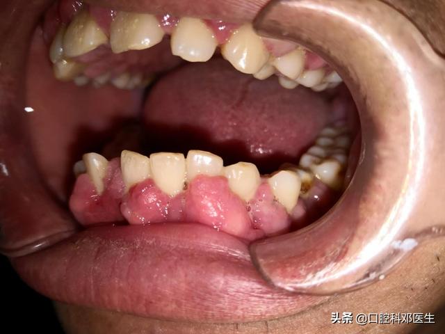
药物性牙龈增生累及全口牙龈图
图片尺寸750x500
怎么判断是牙槽骨增生请看牙骨质增生症状图片和形成原因
图片尺寸599x400
牙槽骨很突出不敢大笑怎么办该怎么解决
图片尺寸368x383
这是牙骨增生吗
图片尺寸770x1024
牙龈增生
图片尺寸601x400
【讨论】有毛孩子经历过牙吸收/牙龈增生的uu们麻烦帮忙看下,万分感谢
图片尺寸1080x651
牙齿上长了骨质增生怎么治疗?
图片尺寸777x546
这是牙骨增生吗
图片尺寸770x1024![【病例讨论】这是什么呢? [病例帖]](https://imgs.wantubizhi.com/img/735A5D1F980B52A636CC46F12F2D1A730B218C9B9CE9E366200FFFF83FB50D741612E4A9C5C60542408D918F3947BC312AD348C81B2BD139C6BC129BDE66F43C27B17B0F5231BFB46A6F18AC106239F6FD9764D96CA6D2C6FEB6F9D7F836D8FD)
【病例讨论】这是什么呢? [病例帖]
图片尺寸640x425
那么牙槽骨骨质增生是由什么引起的呢?
图片尺寸450x338
牙龈增生
图片尺寸350x232
炎症性牙龈增生累及牙间区域和龈缘牙龈组织变得肥大并充血
图片尺寸1080x619
牙龈增生的介绍
图片尺寸500x426
牙洞变大了还会从里边长肉出来?
图片尺寸300x250
牙增生怎么办
图片尺寸640x480
激光切除牙龈增生
图片尺寸637x323
网友1389960提问牙龈增生切除会很痛吗
图片尺寸450x317