外切眼袋露白失败照片

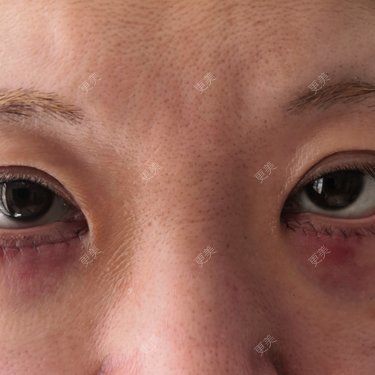
外切眼袋眶隔释放第17天 术后第17天,第一张是左眼,切口颜色还很明显
图片尺寸1109x926
外切眼袋手术第二天左边眼睛有个坑不知道是不是正常的好担心
图片尺寸864x1920
施青外切去眼袋第5天美丽日记
图片尺寸552x736
外切眼袋会失败吗
图片尺寸1080x1439
在南京友谊做个外切眼袋失败了,想死的心都有,没以前好看了,眼睛下面
图片尺寸1080x1080
外切眼袋一个月鼓包了怎么回事
图片尺寸1062x796
切眼袋外翻露红怎么修复,自身亲身经历的修复过程
图片尺寸720x960
【讨论】眼袋术后十天一侧外翻
图片尺寸522x392
去眼袋失败案例
图片尺寸444x207
【讨论】眼袋术后十天一侧外翻
图片尺寸1098x457
看看我眼袋手术后失败图片分享我做完眼袋注意事项
图片尺寸375x266
眼袋外切导致组织外翻,还有救吗
图片尺寸864x1920
yuan来如此的外切祛眼袋日记
图片尺寸375x375
外切去眼袋
图片尺寸570x760![【讨论】外切眼袋术后切口红色痕迹如何消退快? [病例帖]](https://imgs.wantubizhi.com/img/A1A61BAA66193547F3A6DD7D8EE527E99B7865D69E5E9155309AC9E498CFD52A5A2C2BB072B2E79509679FF322F27270091163820985B3A269EDC8E88F6994673B3FB8D555B84D684E3A1DC6F33EBFB2EF054D42DC1BBAE724DC712D66E1C617)
【讨论】外切眼袋术后切口红色痕迹如何消退快? [病例帖]
图片尺寸1932x1428
做完外切眼袋28天,发现疤痕增生了,怎么办,好担心就这样子了.
图片尺寸500x667
做眼袋手术失败的图片
图片尺寸445x255
做了个眼袋外切,现在下眼睑外翻,有没有人像我这样啊_圈子-新氧美容
图片尺寸570x760
外切眼袋一年后凹陷且下坠韩国医院这样修复
图片尺寸500x299
外切去眼袋手术失败下睑凹陷
图片尺寸600x413