多发性肠息肉

肠息肉
图片尺寸667x500
以青少年多发性的结直肠息肉为特征,亦见于胃和小肠,多与基因突变有关
图片尺寸568x501
哪种肠息肉需要切除? - 好大夫在线
图片尺寸689x578
舒鹏教授治疗多发性肠息肉效案分享 - 好大夫在线
图片尺寸354x472
病例结肠多发性息肉分次切除内镜下分片黏膜切除术切除巨大息肉一枚
图片尺寸1000x829![结肠多发息肉恶变 [病例帖]](https://imgs.wantubizhi.com/img/A1A61BAA66193547F3A6DD7D8EE527E92E61D4F72F9278B397C48FE8B8C197087C7ECE1A2E628728EF9CF6D6BD98D748AFED9267F5C814172E83845A98CBFAE4A9E37886E2418C91C73F950BD75AD54671F644DA76C84E207DC9BFC0003C9905)
结肠多发息肉恶变 [病例帖]
图片尺寸359x400
越来越多的肠息肉是怎么来的,得了怎么办?
图片尺寸491x504
400余枚息肉藏肠内 中年女子腹痛10年 - 好大夫在线
图片尺寸2592x1936
结肠多发息肉,医生说明年复查,也没开药.
图片尺寸768x1024
做过肠息肉还能买保险吗 肠息肉手术后能买保险吗
图片尺寸600x511
结肠这样的息肉
图片尺寸887x1920
结直肠多发息肉典型图片
图片尺寸564x485
病例结肠多发性息肉分次切除内镜下分片黏膜切除术切除巨大息肉一枚
图片尺寸1000x796
肠息肉
图片尺寸740x500
肠息肉
图片尺寸667x500
及时进行肠镜检查,这些人包括:45岁以上人群;有多发性肠息肉家族史
图片尺寸500x517
大肠息肉的分类_医学界-助力医生临床决策和职业成长
图片尺寸512x442
结肠息肉吃什么药
图片尺寸500x394
肠息肉
图片尺寸582x500
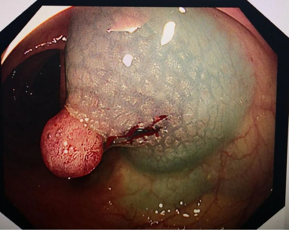
一例肠息肉在内镜医生眼中如何解析
图片尺寸1080x606