多生牙是什么图片

罕见多齿症患者嘴里长满牙齿密集恐惧症的噩梦
图片尺寸450x378
宝宝有多生牙怎么办这些危害家长要重视
图片尺寸800x533
7岁男童因多生牙拔牙昏迷40天,难道父母不该好好反思下么
图片尺寸1098x714
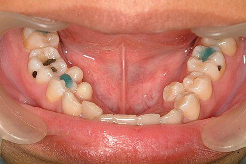
右下颌45间多生牙
图片尺寸5184x3456
小朋友两颗多生牙未及时拔除,导致门牙外突,影响美观,口腔问题 - 抖音
图片尺寸951x1691
真假难辨的多生牙(典型病例)_儿童牙病_疾病介绍_治疗方法_相关疾病
图片尺寸2064x2109
术前口内情况,一颗多生牙长于腭侧骨内可见
图片尺寸1800x1200
可是有的人天生就不用烦拔牙,不用烦掉牙,这些人就是可怕的多齿症患者
图片尺寸471x612
根据全口曲断片判断埋伏多生牙位置,探查
图片尺寸1800x1200
上门牙多生牙图片(上门牙多生牙图片是怎样) | 苏普空间
图片尺寸640x427
多生牙_介绍_治疗方式 - 好大夫在线
图片尺寸677x445
右下颌45间多生牙
图片尺寸5184x3456
右下颌45间多生牙
图片尺寸5184x3456
成人上下颌双侧前磨牙区7颗多生牙病例分析
图片尺寸271x574![上前牙多生牙修复,各位指点一二 [病例帖]](https://imgs.wantubizhi.com/img/ADDA3C5D760C6828B77B505A29D43E83E0EEC40B5E81326987A397C2AFCA6084D4ABE934D66C67F1D6B9652EA08F5FE35906BC59BCA23FC83F1B2BA4ED937484C236A9CE117298996133FC040CB8CF39169B4F8CAA61A26EBD0D31B6E5E73AC3)
上前牙多生牙修复,各位指点一二 [病例帖]
图片尺寸5185x3457
10个孩子里5个长双排牙,医生感叹:都是家长喂出来的
图片尺寸536x273
多生牙(上颚两中门牙间)supernumenary tooth (mesiodens)
图片尺寸500x333
多生牙知多少 - 好大夫在线
图片尺寸865x446
多生牙是什么?它有什么危害?趁着放暑长假,不如来正牙吧!
图片尺寸1056x380
在宝宝生长发育的过程中会经历很多的事情,其中换牙是每个宝宝都要
图片尺寸640x438