多生牙矫正后的照片
 - 门牙多生牙做正雅隐形矫正没想到在深圳正恩口腔12个月就矫正成功了图片尺寸600x468
 - 门牙多生牙做正雅隐形矫正没想到在深圳正恩口腔12个月就矫正成图片尺寸600x444
 - 在犹豫多次后,我选择拔掉了多生牙,金属托槽牙套矫正898天终于可以了!图片尺寸570x760
 - 但随着年纪增大, 矫正时间也会增长, 因而 多生牙越早处理效果越好图片尺寸1080x502
 - 影响了牙齿正常排列,好在拔除多生牙后通过矫正让小朋友的牙齿越来越图片尺寸1080x1439
 - 多生牙拔牙多少钱厦门牙齿矫正图片尺寸1380x1380
 - 多生牙案例集锦郑颖春图片尺寸560x766
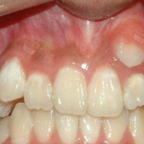
 - 多生牙牵引矫正前后效果对比图片尺寸600x471
 - 患者为了做矫正,毅然决定拔除多年来不痛不痒的多生牙,超声骨刀下微创图片尺寸1008x1344
 - 在犹豫多次后,我选择拔掉了多生牙,金属托槽牙套矫正898天终于可以了!图片尺寸570x685
 - 我的牙齿有颗多生牙,因为害怕后面会长大,把旁边的牙_圈子-新氧美容图片尺寸426x640
 - 小孩子长有多生牙该怎么办图片尺寸592x248
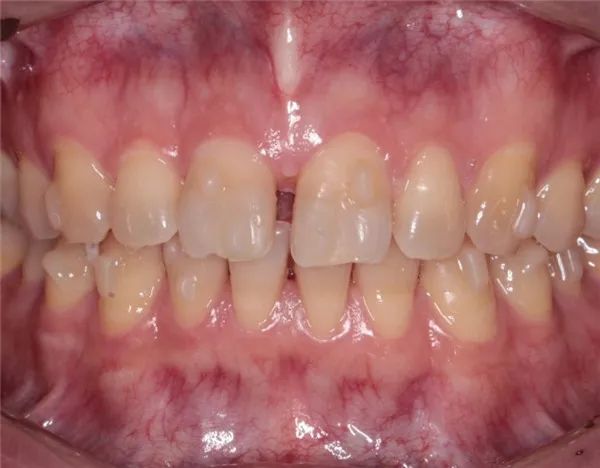
 - 牙齿矫正,让你的牙齿像队列一样整齐图片尺寸1142x602
 - 只戴了上牙套矫正多生牙,我妈都说正畸后换了一个人一样图片尺寸570x707
 - 大连卓尔美笑口腔(海滨路店)多生牙矫正案例图片尺寸471x471
 - 多生牙/牙齿歪斜矫正案例图图片尺寸728x232
![【病例讨论】上前牙区多生牙拔除后 埋伏牙正畸牵引 [病例帖]](https://imgs.wantubizhi.com/img/ADDA3C5D760C6828B77B505A29D43E831B1DE267659FF417037EAA873A0FCD6636AA1E1D2097206D12803A553D2A7A34ED87A541D952DD504C149405DDCF4BE2757B689D75956C83014183E14E2325D806D4B09011F6633776D6FF05AB85863D) - 【病例讨论】上前牙区多生牙拔除后 埋伏牙正畸牵引 [病例帖]图片尺寸3008x1692
 - 门牙中间有多生牙必须拔掉做矫正吗还有其他整牙办法没图片尺寸600x352
 - 多生牙 外突矫正记录图片尺寸1080x1440
 - 牙齿矫正图片尺寸570x761