大牙缝

牙缝大也是牙病信号
图片尺寸300x220
牙缝太大
图片尺寸1080x561
比悲伤更悲伤的事情牙缝大不仅丑还可能是病
图片尺寸700x436
为啥牙缝越来越大牙缝变大怎么办
图片尺寸600x434
新品大牙缝修复自然色
图片尺寸1080x1438
牙缝大怎么纠正
图片尺寸1080x2337
牙缝大,牙齿缺损,全瓷牙贴面帮助你改变!
图片尺寸2048x1365
库里晒妻子巅峰颜值妩媚睡衣装秀恩爱萌神大牙缝却格外辣眼
图片尺寸518x358
门牙牙缝大 - 好大夫在线
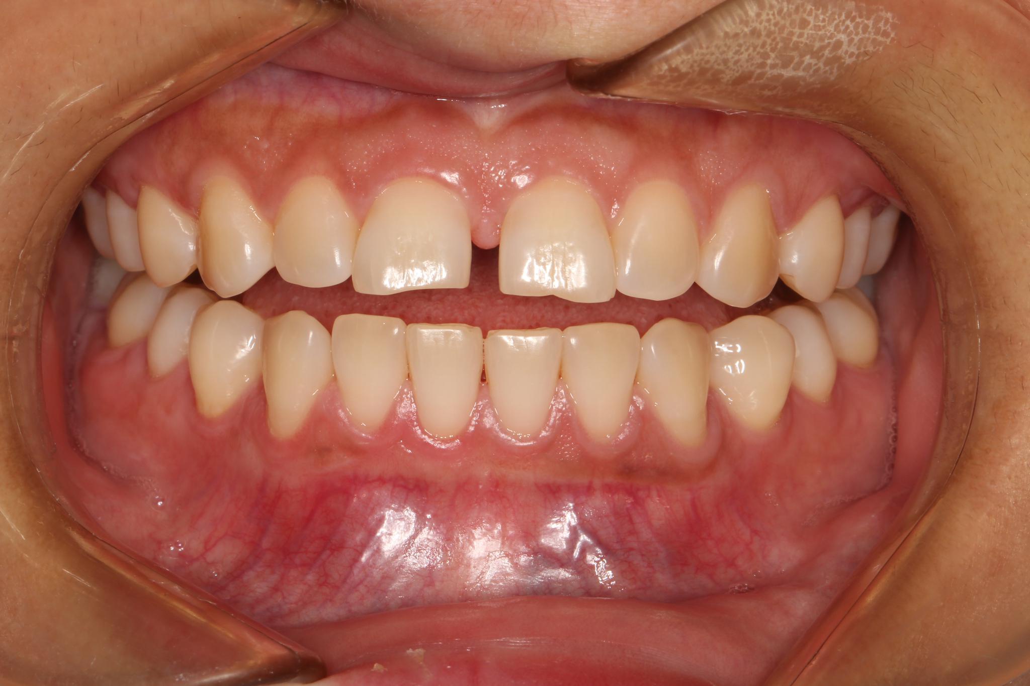
图片尺寸3282x3456
宝宝牙缝有点大到底是好事还是坏事
图片尺寸342x204
牙齿间隙变大怎么办牙缝大的主流修复方式牙齿贴面
图片尺寸982x653
牙缝太大,吃东西塞牙,说话漏风,怎么破?
图片尺寸893x555
都说牙缝大漏财,我这个牙缝这么大,不仅漏财还很丑,_圈子-新氧美容
图片尺寸1200x800
牙缝大怎么办
图片尺寸396x206
患者上下排牙缝大,一开始的时候觉得不露齿笑就不影响,但是平常聚会人
图片尺寸640x853
我上排牙齿牙缝大,可不可以不矫正下排.什么情况不会影响牙齿咬合
图片尺寸613x675
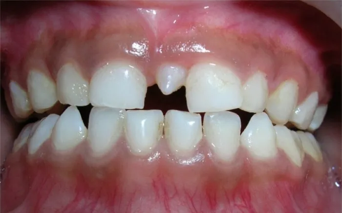
慎入门牙牙缝大是戴牙套还是做瓷贴面010101
图片尺寸1080x669
牙缝超大,不知缺不缺牙,请问要戴牙套还是烤瓷牙呢?
图片尺寸480x640
顾客牙缝大 诉求改善牙齿缝隙问题
图片尺寸1712x1284
牙缝大应该怎么办?
图片尺寸695x927